Bacterial Contig Map of the 21q11 Region Associated with Alzheimer’s Disease and Abnormal Myelopoiesis in Down Syndrome
- Jürgen Groet1,
- Jane H. Ives1,
- Andrew P. South1,
- Pedro R. Baptista1,
- Tania A. Jones2,
- Marie-Laure Yaspo3,
- Hans Lehrach3,
- Marie-Claude Potier4,
- Christine Van Broeckhoven5, and
- Dean Nižetić1,6
- 1Centre for Applied Molecular Biology, School of Pharmacy, University of London, London WC1N 1AX, UK; 2Human Cytogenetics Laboratory, Imperial Cancer Research Fund, London WC2A 3PX, UK; 3Max-Planck-Institute for Human Genetics, Berlin-Dahlem, Germany; 4Neurobiology Laboratory, Centre National de la Recherche Scientifique URA 2054, 75005 Paris, France; 5Laboratory of Neurogenetics, Flanders Interuniversity Institute for Biotechnology (VIB), Born Bunge Foundation (BBS), University of Antwerp (UIA), Department of Biochemistry, Antwerp, Belgium
Abstract
We present a high-resolution bacterial contig map of 3.4 Mb of genomic DNA in human chromosome 21q11–q21, encompassing the region of elevated disomic homozygosity in Down Syndrome-associated abnormal myelopoiesis and leukemia, as well as the markers, which has shown a strong association with Alzheimer’s Disease that has never been explained. The map contains 89 overlapping PACs, BACs, or cosmids in three contigs (850, 850, and 1500 kb) with two gaps (one of 140–210 kb and the second <5 kb). To date, eight transcribed sequences derived by cDNA selection, exon trapping, and/or global EST sequencing have been positioned onto the map, and the only two genes so far mapped to this cytogenetic region, STCH and RIP140 have been precisely localized. This work converts a further 10% of chromosome 21q into a high-resolution bacterial contig map, which will be the physical basis for the long-range sequencing of this region. The map will also enable positional derivation of new transcribed sequences, as well as new polymorphic probes, that will help in elucidation of the role the genes in this region may play in abnormal myelopoiesis and leukemia associated with trisomy 21 and Alzheimer’s Disease.
Chromosome 21 has one of the most advanced mapping states in the human genome project, which is probably attributable to a combination of its small size and the large concentration of genetic interest (Shimizu et al. 1995). The map proceeded from a very early detailed genetic map (Antonarakis et al. 1989; McInnis et al. 1993) and a whole chromosome NotI restriction map (Ichikawa et al. 1993), accompanied by YAC overlap maps (Chumakov et al. 1992; Patterson et al. 1993; Nizetic et al. 1994;Korenberg et al. 1995) and an integrated cosmid-pocket map of the entire chromosome (Nizetic et al. 1994), to megabase-size bacterial contigs of selected regions (Patil et al. 1994; Lafreniere et al. 1995;Eki et al. 1996; Osoegawa et al. 1996; Ohira et al. 1996; Stone et al. 1996; Hubert et al. 1997) as well as global and regional transcriptional maps (Cheng et al. 1994; Peterson et al. 1994; Lucente et al. 1995; Tassone et al. 1995, Yaspo et al. 1995; Chen et al. 1996). Though one of the most advanced among whole human chromosome maps, the chromosome 21 map is still not sufficiently complete in its proximal half to enable detailed transcriptional mapping and large-scale sequencing. Attempts at positioning cosmid-derived, cDNA-selected, or exon-trapped products on near-complete YAC contigs routinely result in ∼25%–40% failure, despite proven 21q location of the same products (Cheng et al. 1994; Yaspo et al. 1995; Gardiner 1996). This failure illustrates the imperfection of the YACs as high-resolution mapping tools and the need to extend the map to fully overlapping sets of bacterial vector clones. So far, the published bacterial contig maps encompass approximately one-third of the long arm, and a large international sequencing consortium is nearing 5 Mb of completed genomic sequence in at least three distinct regions, which amounts to ∼15% of the length of the long arm (seehttp://www-eri.uchsc.edu/chr21/dna/map.html andhttp://chr21.rz-berlin.mpg.de/consortium.html), all of these concentrated in the telomeric half. Studies of partial trisomies and correlations to phenotypic features of Down syndrome (DS) (Delabar et al. 1993) led to a widespread belief that practically all the dismorphic features were caused by trisomy of the gene(s) in the so-called Down syndrome critical region (DCR). This region, as well as the loci for other interesting genetic diseases all mapped to the distal third of the chromosome. More recent data show that trisomy of the proximal half of the chromosome can lead to DS features (for summary, see Korenberg et al. 1994) and demonstrate that a more complex model is probably more appropriate to explain DS, which makes genes throughout the entire length of the long arm interesting in the study of the molecular basis of various features of DS (Korenberg et al. 1994). Increased disomic homozygosity in the pericentromeric region of 21q has been found amongst DS subjects with transient abnormal myelopoiesis (TAM) and/or ANLL-M7 leukemia compared to DS individuals with normal myelopoiesis. This was observed by use of both cytogenetic (Abe et al. 1989) and molecular techniques (Niikawa et al. 1991; Shen et al. 1995; Dagna-Bricarelli et al. 1997), in particular around the markers D21S215, D21S258, D21S120, and D21S192. It has been proposed that this region may house a gene encoding a product with tumor suppressor or growth control functions (Niikawa et al. 1991; Ohta et al. 1996). The interval around the markers D21S13 and D21S16 (St.George-Hyslop et al. 1987; Goate et al. 1989; Van Broeckhoven et al. 1990; Schellenberg et al. 1991) has been designated in the past as the Alzheimer’s Disease-1 (AD1) genomic region (Van Broeckhoven 1995) because of its high linkage (lod > 3) repeatedly found with Familial Early Onset Alzheimer’s Disease (FEOAD). Because the same families subsequently showed mutations in presenilin genes, the 21q11 linkage was never explained.
We present a map of 3.4 Mb of genomic DNA encompassing both the ex-AD1 locus and the region of disomic homozygosity in DS leukemia. This work converts a further 10% of the long arm into a high-resolution bacterial contig map. The contigs will be sequenced by the chromosome 21 sequencing project within the framework of the German Human Genome Programme.
RESULTS
Construction of a PAC-Pocket Sublibrary Enriched for the Region
A YAC contig from the integrated cosmid-pocket map published previously (Nizetic et al. 1994) was used as a starting point. Eight YACs that form the minimal YAC tiling path (YACs: 1A2y21, 7A1y21, 255d1, 6A6y21, 23cb10ici, 2G2y21, 2C12y21, and 5A11y21) were excised after pulsed-field gel electrophoresis (PFGE), purified, and used as hybridization probes against a five genome equivalent PAC library (Ioannou et al. 1994) displayed on high-density membranes. A group of 1730 PACs were detected initially, but after elimination of PACs that hybridized to more than three YACs and/or hybridized to unrelated YACs, 1591 PACs were left, which could be distributed in 13 pockets on the basis of their hybridization fingerprint. Some pockets were too large (PACs hit by single YACs 255d1 and 6A6y21, amounting to 526 and 283 positives, respectively), probably containing many spurious weakly hybridizing PACs, and were not considered further. Finally, 560 PACs distributed in 11 pockets were regridded into six microtiter plates as a sublibrary enriched for PACs from the 21q11–q21 region. The PAC clones of the sublibrary were spotted and grown as colonies on nylon membranes for hybridization.
Construction of Contigs
Gridded membranes of the sublibrary were hybridized to eight markers, D21S190, S149, S253, S13, S46, S192, S189, and S172, previously placed on the PFGE map of the genomic DNA of this region (Van Hul and Van Broeckhoven 1993), and/or found on YACs and/or cosmids of this region (Nizetic et al. 1994). Previously published expressed sequences (ES) mapping in this region (Cheng et al. 1994; Yaspo et al. 1995) were also hybridized to the sublibrary. Clones hybridizing to a particular marker or ES can be seen in Figure1. PACs were organized into tentative contigs on the basis of the content of markers. Clones from these contigs, plus clones belonging to groups that were placed into the same pockets from the pattern of hybridizations to the YACs, were then examined for physical overlap with other PACs in the sublibrary. End fragments were generated from these PACs by inverse or vectorette PCR and used as probes to detect new, overlapping clones on the sublibrary filters. A total of 28 end-probe hybridizations were performed on the sublibrary, of which those most relevant for the minimal tiling path (MTP) are described and listed in the left end column of Table 1. Positive clones detected with these probes on sublibrary membranes can be deduced by looking at overlapping clones in Figure 1, and the MTP subset is shown in the top row of Table 1. The remaining 10 end-probe hybridizations are not shown, but were used in positioning of the PACs in Figure 1. Where PACs could not be identified in the sublibrary, whole genomic PAC and BAC (Shizuya et al. 1992) libraries of five genomic equivalents each were screened by hybridization to whole contiged PAC/BAC clone inserts (separated from the vector by NotI digestion and PFGE), or screened as pools of gridded clones by PCR (PACs only). This added a further 28 clones in the gaps between contigs. Of these, four clones were hit previously by only one of the two YACs 255d1 or 6A6y21, and therefore belonged to the group that was not included in the sublibrary because of excess numbers (see previous section).
The integrated map of the 21q11–q21 region. The tophorizontal bars represent the cytogenetic (dark and light) bands, the direction of the centromere is indicated, and the region around D21S190 that is duplicated once more on 21q22.1 (Dutriaux et al. 1994) is shaded. The region of homology to other chromosomes is shown as a thin horizontal gray bar immediately underneath the cytogenetic bar level. The next horizontal level is the scale (in kb), followed by the line representing genomic DNA, containing symbols: (circles) STS or hybridization markers (D21 is omitted in their names); (solid rectangles) fully characterized genes; (bent arrows, pointingleft and right) segments contained within somatic cell hybrids on rodent background (whose names are given above the arrows) that were checked against STSs by PCR; below is an open bar representing the restriction map, vertical lines are restriction sites for XhoI (no letters or X), SalI (S), andNotI (N). Asterisks represent XhoI sites whose respective order in that segment could not be precisely determined. TheMluI sites described in text are shown as bold M restriction mapped to exact positions within PACs used (see Results). The only two gaps in the map are shown as open squares labeled G1 and G2 for gap 1 and gap 2, respectively, as referred to in the text. Lines underneath this bar with solid triangles pointing down represent limits of localization of ESs derived by cDNA selection or exon trapping, described in Cheng et al. (1994), Yaspo et al. (1995), and Schuler et al. (1996). The next level represents the PACs (from the library byIouannou et al. 1994), BACs (B in front of the clone name, from the library by Shizuya et al. 1992), or cosmids [c102 or Q in front of the clone name, for the library by Nizetic et al. (1991a) or the Lawrence Livermore library, respectively] drawn to scale. The clones contained in the MTP are shown in boldface type. The restriction map above refers only to these clones. The YAC clones described in Nizetic et al. (1994)are shown in the bottom horizontal level as thin gray bars.
Summary of the Hybridization and PCR-based Hits That Establish the Overlaps within the MTP
By integration of these results, a tentative MTP of overlapping clones was established. The PACs from the MTP were then organized in pools and screened by use of sequence-tagged sites (STSs) from the CEPH–Genethon YAC contig of chromosome 21 (Chumakov et al. 1992; Patterson et al. 1993; Graw et al. 1995; Korenberg et al. 1995), adding an additional 13 markers onto the map (summarized in Table 1). Table 1 contains the summary of 12 different types of hybridization or PCR-based results (hits). The MTP is shown in bold on the top row of Table 1 and in Figure 1. Most overlaps between those clones have been established on the basis of at least two confirmatory hits. Averaged throughout the entire MTP, there are 2.5 confirmatory hits per overlap. If YAC hybridization patterns to PACs are taken into consideration, 3.5 confirmatory hits are obtained, averaged throughout the map. In many cases, other PACs or cosmids not included in the MTP (shown as normal text in Fig. 1), were detected in common with hybridization probes from both sides of the MTP overlap, further strengthening the map. Figure 1shows the integrated map.
Restriction Mapping and MTP Verification
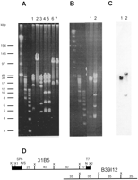
The final restriction map for NotI, SalI, andXhoI is shown in Figure 1. This map was derived from single and double digestions of all 30 clones in the MTP, followed by PFGE as shown in Figure 2 for PAC 31B5. Lanes 2 and 6 in Figure 2A show that there are no extra SalI or NotI sites present in the insert of the PAC 31B5. Comparison of lanes 1 and 3 shows that the 30-kb XhoI fragment is cut to a 23-kb insert fragment and a 7-kb vector fragment with SalI. A 15-kbXhoI fragment is digested to a 10-kb insert fragment and a 5-kb vector fragment with NotI. This leaves the 50-kb and 40-kb fragments as the internal XhoI insert fragments, the 5-kb fragment is an internal XhoI vector fragment (lane 1). In some cases, the precise order of XhoI fragments could not be determined, for example, when there were too many internal XhoI sites (marked with an asterisk in Fig. 1). The physical length of the overlapping segments between overlapping clones was determined by integration of the restriction map of each clone with the hybridization results when whole clone inserts were used as probes on the Southern blots of the neighboring, overlapping clones digested with NotI/XhoI orNotI/XhoI/SalI. An example of this is shown in Figure 2B and C. Insert of the BAC B39I12 (overlapping the PAC 31B5) used as a probe to a blot of the gel in Figure 2B containing both itself and the PAC 31B5 showed hybridization to the 10- and 50-kb fragments of the XhoI/SalI/NotI-digested 31B5 (Fig. 2C). This places the order of the internal fragments of 31B5 and the overlap with B39I12 as indicated in Figure 2D.
Restriction mapping and verification of the degree of overlap. (A) Restriction mapping of a PAC. The PFGE of the PAC clone 31B5. (Lanes 1) XhoI; (lane 2)SalI; (lane 3) XhoI–SalI; (lane4) NotI–XhoI–SalI; (lane5) NotI–XhoI; (lane 6)NotI; (lane 7) NotI–SalI. (B) PFGE of two overlapping clones from the MTP. (Lane 1) BAC B39I12 cut with NotI–XhoI–SalI; (lane 2) PAC 31B5 (restriction mapped in A) cut withNotI/XhoI. The first three un-numbered lanes inA and B contain molecular weight markers (see Methods), whose fragment sizes in kb are indicated on theleft. (C) Verification and sizing of the overlapping segment; the Southern blot of B hybridized to the insert from the BAC B39I12. (D) Restriction map of PAC 31B5 and the overlap of the two clones as deduced from A, B, andC. (N) NotI; (S) SalI; (X1 and X2) twoXhoI sites in the vector. SP6 and T7 are the RNA polymerase promoters flanking the BamHI cloning site of the PAC vector.
These experiments served the purpose of both confirming the established overlaps and identifying the list of nonredundant restriction fragments, which was used to calculate the nonredundant genomic DNA length covered by the map.
The positions for the STS markers in the intervals between somatic cell hybrid breakpoints shown in Figure 1 have been checked by PCR by use of genomic DNA of the hybrids, total human DNA, and rodent DNA. The data allow the positioning of the hybrid breakpoints as shown in Figure 1and are in full accordance with previously published data (Gardiner et al. 1990; Graw et al. 1995).
After integration of all data and estimation of the total length of all nonredundant restriction fragments from the PFGE, three contigs emerge: 850, 850, and 1500 kb (Fig. 1).
Direct Measurement of Gap Sizes on Genomic DNA Southern Blots
Hybridization probes were prepared from selected PACs on both sides of gap 1 and gap 2 (Fig.1) and hybridized to Southern blots of the hybrid cell line containing only human chromosome 21 on a mouse background (WA17) and the parental mouse cell line control. For gap 2, end probes facing the gap from either side were hybridized toXhoI-digested genomic Southern blots prepared by use of the same electrophoresis conditions as for the PAC restriction maps (see Fig. 2). The results are shown in Figure 3. The gap facing (SP6) end of the BAC B39I12 and the gap facing (T7) end of the PAC 190N10 detected a common 83-kb band in WA17 and not in mouse control. Because the clones are fully restriction mapped withXhoI, this result is consistent with the XhoI sites nearest to the gap being unmethylated and therefore cut in the genomic DNA to generate the common 83-kb fragment [if either of the two nearest sites had been methylated, the common fragment would have been far bigger (116 or >140 kb)]. The two nearest XhoI sites are 34 and 46 kb away from the gap facing ends of the B39I12 and 190N10, respectively, which means that 80 of 83 kb is covered by the clones. This direct measurement allows an estimation of the size of gap 2 as <5 kb. For the estimation of the size of gap 1, genomic DNA prepared in agarose blocks was digested with rare cutting and methylation-sensitive enzymes. Whole clone inserts from two PACs that belong to contigs on either side of gap 1, 29H4 (S297,S308) and 98L15 (S258) used as probes both detected a common 1060-kb MluI fragment in WA17 and not in the mouse control (not shown). According to the map by van Hul et al. (1993), in the WA17 cell line, one unmethylated MluI site is mapped within the interval between markers S190 and S215. This study mapped the next distal unmethylatedMluI site at the distance of 1050 kb, within a few kilobases of the marker S258. We could find only two MluI sites in PACs in the S190 to S215 interval (see Fig. 1): One in the PAC 127M18, and one in the PAC 16C2, both therefore candidates to be the proximal end of the observed 1060-kb fragment. The first site distal from gap 1 (common to PACs 98L15 and 90B5) was found in the cluster ofXhoI fragments adjacent to the marker S258. When the PAC coverage between the MluI sites likely to have generated the 1060-kb fragment is measured from restriction-sized PAC inserts of the contigs, a figure of 850 kb or 920 kb is obtained, respectively, for the two MluI sites as proximal ends, in PACs 16C2 or 127M18. This result allows an estimation of the minimal and maximal size of gap 1 as 140 and 210 kb, respectively.
Direct measurement of gap 2 with genomic Southern blot hybridization. (Left) Photograph of a pulsed-field gel stained with ethidium bromide. Unlabeled lanes contain markers with some band sizes (in kb) are indicated. The next four lanes contain genomic DNA prepared in agarose blocks and digested with XhoI. (Lane 1) WA 17 (hybrid line containing only human chromosome 21 on mouse A9 background); (lane 2) A9 control. A and B are identical pairs of lanes run on the same gel, blotted, separated by cutting of the blotted membrane, and hybridized to end probes from B39I12 (SP6 end) and 190N10 (T7 end), respectively. (Right) Printout of a PhosphorImager scan of the hybridized membranes (B39I12, A;190N10 B). Both ends were generated with a modified vectorette–PCR technique (see Methods); B39I12 SP6 end was a 750-bp fragment amplified from the vectorette library generated withPstI; the 190N10 T7 end was a 420-bp fragment amplified from the vectorette library generated with HindIII.
Regions of Homology to Other Chromosomes
Sequences homologous to other chromosomes (especially chromosome 13 and all acrocentrics) have been repeatedly observed in the proximal 21q (Choo 1990; van Camp et al. 1992; van Hul et al. 1993; Chiang et al. 1995; Graw et al. 1995). The study by Graw et al. (1995) found additional homologies other than to chromosome 13 (see last column in Table 2), in particular with chromosome 18, but also to many other chromosomes. We present several new results of chromosomal locations for some markers (summarized in Table 2). Integration of data in Table 2 for the BAC B62L20 (S369, S215, S297) and the PAC 29H4 (S297, S308) indicates that both clones must contain DNA cloned from chromosome 21, as it is the only common chromosome localization to the particular combination of three or two STSs present in these two clones, respectively. Similarly, the PAC 82L10 (S318, ES0093, ES0067) must originate from chromosome 21, as it is the only common chromosome localization for all three markers (Table 2). When these localizations are all integrated with the order of markers on the map in Figure 2, it would appear that the region of homology to other chromosomes ends between ES0067 and D21S258. Any marker telomeric to D21S258 checked by any of the above-mentioned studies was indeed found to be chromosome 21 specific. To confirm this border, FISH was performed with PACs near this border: 90B5 (S258,S378, STCH, and S120) and the next two PACs overlapping the 90B5 in the proximal direction, 98L15 (S258) and 63K18 (S318,ES0067,ES0093), plus two more clones from the proximal contig. The FISH results (summarized in Table 2) place the border between the chromosome 21-specific and shared regions near the proximal end of the PAC 98L15. The region of homology to other chromosomes is shown as a thin horizontal gray bar immediately underneath the cytogenetic bar level in Figure 1.
Summary of the PCR and FISH Analyses of Some 21q11 Markers and Clones Located in the Region Showing Sequence Homology to Other Chromosomes
To further confirm the orientation of the most proximal contig, a three-loci comparison hybridization with two-color FISH (in different combinations) to interphase nuclei was performed (not shown). The order Z1–Q50H6(S215)–c102A0863 was obtained. A similar experiment confirmed the order of three contigs with respect to each other; the FISH probe order c102A0863–90B5(S258)–71F7(S13) was confirmed (not shown).
Genes and ESTs
Several global efforts to enrich the transcriptional map of the chromosome have placed some selected cDNAs and ESTs into this region by use of YACs or somatic cell hybrid panels. We show the precise localization of these transcribed sequences (Fig. 1): (H21)—ES0033, ES0093, ES0067, ES0136, and ES0040 were cDNAs selected from fetal brain on random cosmids from a flow-sorted chromosome 21 library and subsequently mapped to 21q11 YACs (Cheng et al. 1994). Their multiple chromosomal localizations and expression patterns have been studied byChiang et al. (1995). For one of these sequences (ES0136), Chiang et al. could not detect any clones in multiple tissue cDNA library screens. We detected RT–PCR products for this EST in fetal brain and fetal lung RNA, but not in fetal heart, fetal liver, or adult bone marrow. The TU18 was a trapped exon from a random chromosome 21 cosmid (Yaspo et al. 1995), whereas A004O28 and A002B43 were ESTs mapped onto the human genome map of radiation hybrid fragments (Schuler et al. 1996). We could obtain the correct RT–PCR products for A002B43 in all examined tissues (fetal heart, brain, liver, and lung, and adult bone marrow), for A004O28 only in fetal brain and fetal liver, whereas for TU18 we could not amplify any RT–PCR prducts in this panel of tissues. The cDNA H21ES0093 (Cheng et al. 1994) was later found to contain a portion of the newly characterized gene encoding for the human nonsmooth muscle neutral calponin (Masuda et al. 1996). However, whether the full gene is located in 21q11 remains to be determined, because this EST seems to be repeated on several chromosomes [Chiang et al. (1995) found it only on chromosomes 3 and 16, not on 21]. We mapped at least one of its copies to chromosome 21 (see Table 2) by detecting several bands on the genomic Southern blot, common to the total human genomic DNA and 21-only hybrid WA17, not the rodent background. We could also see five additional bands in total human DNA, consistent with the colocalization on additional chromosomes. Very recently, a pair of primers designed as specific for the 3′ UTR of the published functional gene shows clearly that this copy of the gene is not on chromosome 21 (J.H. Ives, unpubl.). The precise positions of the only other two genes so far mapped to this region: STCH (Brodsky et al. 1995) and RIP140 (Cavailles et al. 1995; Katsanis et al. 1998) are also shown in Figure 1.
DISCUSSION
The overall size of the region mapped is 3400 kb. The bacterial contigs shown cover 94%–95% of this distance. Of this distance, 61% is covered by contigs with depth ranging from three- to seven-fold, and only 13% is covered by single-clone-deep parts of the contig. The average degree of overlap in the MTP is 17.3% of clone length. In the part where the YAC contig had been reliable (80% of the map), 55/59 PAC clones built into the contigs have been identified by YACs. The strategy using YACs has managed to enrich for clones covering 93% of the length of the region spanned by YACs. However, this degree of effectiveness is likely to vary greatly between different regions depending on the abundance of medium-to low-copy repeats in a YAC.
The sum of the lengths of the nonredundant restriction fragments shown in the map in Figure 1 gives the measurement of the physical distance between the markers for various intervals of the map, which matches well with previously published physical maps of large genomic DNA fragments separated by PFGE (van Hul and Van Broeckhoven 1993).
We could not find a single clone corresponding to the gap 1 and gap 2 DNA in the total of 16 genome equivalent libraries of flow-sorted cosmids, PACs, and BACs with probes from the contig ends. This probably means that the gaps contain sequences that are very difficult to clone in bacterial systems, especially in the case of gap 2. Closing gap 1 may be complicated further by the concentration of medium-copy repeats, making it impossible to detect specific clones. The published distance of 732 kb for the interval between D21S13 and D21S382 (called Eag101 on the genomic long-range map; van Hul and Van Broeckhoven 1993) matches almost exactly our PAC contig distance of 725 kb. These two markers are also the NotI-linking clones for the two NotI sites found on the global chromosome 21 NotI restriction map (Ichikawa et al. 1993), which gives a distance of 720 kb between them. On the restriction map of PACs, NotI sites have indeed been found at both D21S382 and D21S13 positions, which helped anchor our contigs to the NotI map of chromosome 21 (Ichikawa et al. 1993).
Integration of our data and those previously published (some shown in Table 2; Choo 1990; van Camp et al. 1992; van Hul et al. 1993; Graw et al. 1995; Chiang et al. 1995) with the physical and overlap map in Figure 1, shows several distinct regions of homology. The first 200 kb of the contig seems to be the region shared by all acrocentric chromosomes, the next 220 kb is occupied by the duplicated region (van Camp et al. 1992; Dutriaux et al. 1994; Potier et al. 1996), which is duplicated in 21q22.1 but is also homologous to chromosome 13 and not to other acrocentric chromosomes. Throughout the next segment (approximate positions 420–1330 on the kilobase scale, Fig. 1) extends the region containing sequences shared between chromosome 21 and multiple other chromosomes, with predominant homology to chromosomes 13 and 18. It is possible that translocations, duplications, and inversions precipitated by the presence of low- and medium-copy repeats present in many heterochromatin regions of the genome, may have been the events shaping the evolution of the DNA in 21q11.1. Many somatic cell hybrid breakpoints (Gardiner et al. 1990; Graw et al. 1995) deriving from translocation and deletion events map in this area. The region around D21S190 is duplicated once more about 15 Mb further distal in 21q22.1 (Dutriaux et al. 1994). The PAC 156L9 from the MTP (Fig. 2) is completely included in the duplicated region, but it has been assigned to the proximal copy of the region on the basis of polymorphisms (compared to the distal, 21q22.1 located copy of the same region) detected with two new polymorphic markers derived from the duplicated region (D21F127 and D21F158), which is the subject of a parallel study (M.-C. Potier, A. Dutriaux, R. Orti, J. Groet, N. Gibelin, G. Karadima, G. Lutfalla, A. Lynn, C. Van Broeckhoven, A. Chakravarti et al., in prep.). Constitutional inversions have also been seen at these loci. One study has mapped an inversion breakpoint in a DS child with TAM (Ohta et al. 1996) very near the clones that are at the border of the D21S190 duplicated region and the chromosome 21-specific (S215, S369) segment. Genomic sequencing of these border regions may reveal sequences that play important roles in the mammalian chromosome evolution.
There is widespread evidence pointing at the extremely uneven distribution of transcribed sequences over 21q (for summary, seeGardiner 1996). This analysis predicts a gene density of one gene every 6 Mb in the proximal part of 21q21, contrasted with one gene every 10 kb in the telomeric 10% of the long arm. The level of transcripts could be too low for the global cDNA selection approaches to be successful in this region. For example, none of the attempted global approaches so far (for summary, see Gardiner 1996) was able to detect ESTs corresponding to any of the parts of the two genes mapped by other means to 21q11.2 (STCH and RIP140), despite their ubiquitous tissue expression pattern (Brodsky et al. 1995; Cavailles et al. 1995). This result could mean that there are more genes than initially predicted in this region, especially in the R-band 21q11.2, but a combination of approaches [including one recently described (Yu et al. 1997)] may be necessary to detect them. Any new genes, as well as the existing two (three) genes, have to be analyzed for potential roles in disease phenotypes associated with the region. Increased disomic homozygosity has been found amongst DS subjects with TAM and/or ANLL-M7 leukemia compared to DS individuals with normal myelopoiesis by use of both cytogenetic (Abe et al. 1989) and molecular techniques (Niikawa et al. 1991; Shen et al. 1995; Dagna-Bricarelli et al. 1997), in particular around the markers D21S215, D21S258, D21S120, and D21S192. It has been proposed (Niikawa et al. 1991; Ohta et al. 1996) that this region may house a gene encoding a product with tumor suppressor or growth control functions. Both the STCH and RIP140 genes map inside the wider region of elevated disomic homozygosity. The chromosome 21q11 linkage in FEOAD families has never been explained, and it has been speculated that a modifier gene located in the ex-AD1 locus could act together with the PSEN1 gene to generate or modify the AD phenotype (St.George-Hyslop et al 1992; Van Broeckhoven 1995). So far, it has not been possible to test such hypotheses, because no genes have been mapped into this gene-poor region.
The high-resolution bacterial clone overlap map presented in this report will be the basis for the derivation of a more complete transcriptional map of this genetically interesting, but hitherto gene-poor region, as well as the starting substrate for the large-scale sequencing of the proximal 10% of the length of the chromosomal arm 21q.
METHODS
Libraries Used
Cosmid ICRF c102/ 103, flow-sorted chromosome 21 libraries (Nizetic et al. 1991a). PAC Library RPCI-1 (Ioannou et al. 1994). Total Human BAC library (Shizuya et al. 1992; Research Genetics). A single cosmid Q50H6 was from the Lawrence Livermore flow-sorted chromosome 21 cosmid library.
Hybridization of YACs to High Density PAC Membranes
YAC DNA was isolated as described previously (Nizetic and Lehrach 1995). Hybridization was carried out as described by Baxendale et al. (1991).
Picking and Spotting of PAC clones
Positive clones were regridded into 96-well plates containing 2×YT (Sambrook et al. 1989), 1× HMFM (Nizetic and Lehrach 1995), and 30 μg/ml kanamycin, grown overnight at 37°C. Duplication of the clones was performed in 384-well plates. Spotting and growing of clones onto Hybond N+ and subsequent processing was carried out as described (Nizetic et al. 1991b; Nizetic and Lehrach 1995). For the DNA isolation, PAC/ BAC clones were grown for 14 hr in 15 ml of superbroth (32 grams of tryptone, 20 grams of yeast extract, 5 grams of NaCl, 5 ml of 1 n NaOH per liter) with 30 μg/ml kanamycin. Cosmids were grown in 6 ml of 2× YT. DNA was isolated by use of a modified alkaline lysis method (Sambrook et al. 1989).
PCR Reactions
Standard reactions were performed in a 50-μl total volume, at a final concentration of 1× reaction buffer [10× reaction buffer: 100 mm Tris-HCl, pH 9.0, 15 mmMgCl2, 500 mm KCl, 1% Triton X-100, 0.1% (w/vol) gelatin], 25 pmoles of each primer, 10 nmoles of each dNTP (Promega), and 0.1 units of Supertaq (HT Biotechnology).
PAC Alu PCR was carried out as described previously (Cole et al. 1991).
(PAC) Inverse PCR was carried out as follows: 1 μl of DNA (∼300 ng) was digested with either BfaI or NlaIII (NEB) for 2 hr. Phenol and chloroform extraction and precipitation of the DNA were carried out, after which the samples were ligated overnight at 14°C in a 100-μl total volume with 1 unit of T4 DNA ligase (Life Technologies). PCR was performed with primer 1, CATTTAGGTGACACTATAGAGGATC, and primer 2, CGGCCAATTAGGCCTACCCAC, for theBfaI-digested samples and primer 3, CGACTCACTATAGGGAGAGGATC, and primer 4, CAACCCAGTCAGCTCCTTCC, for the NlaIII-digested samples. The annealing temperature was 60°C. Samples were resolved on a 1% (w/vol) agarose gel and PCR products isolated by gel purification.
(PAC) vectorette PCR was carried out as described previously (Riley et al. 1990) with primers 1 and 3 as the vector primers.
Gene and EST PCR was carried out as follows: cDNAs cloned into M13 (Cheng et al 1994) were amplified by PCR with M13 primers: Forward, CCCAGTCACGACGTTGTAAAACG and reverse, -AGCGGATAACAATTTC ACACAGG. The annealing temperature was 55°C. Primers for RIP140 were: Forward, -TCATTTTTCTTGATCGTTGTGG and reverse, -TGTAAAAAGGTCATTTCCCCC. The annealing temperature was 55°C. Genbank accession no. X84373. Primers for STCH were: Forward, -GTATTGAAAGAAGGCCAC, and reverse, -CTAAAGCACTGACTTGGAG. The annealing temperature was 50°C. Primers for PT12 (Yaspo et al. 1995) were: Forward, -AACCTTGGAAGCAAGTTA and reverse, -AATATGCAGATTCTCCTC. The annealing temperature was 42°C. For PT14 (Unigene A004O28) primers were: Forward, -TACAAGCTTATAGAGAAAGTCAA and reverse, -TATGTATAAAATAGGCAACTA GG. The annealing temperature was 57°C. For PT15 (Unigene A002B43) primers were: Forward, -AATATTATGTATCGTACACAGTG and reverse, -AGACAAAATGACTATACAGACTT. The annealing temperature was 57°C.
Preparation of Probes from Cosmid Inserts
Five microliters of DNA (see cosmid DNA isolation) was digested with 1 μl of Sau3AI (10 U/μl, Life Technologies). Agarose gel electrophoresis was performed with 1% agarose. Bands exceeding 1200 bp were cut out of the gel, and DNA was isolated with Prep-a-Gene according to manufacturer’s recommendations (Bio-Rad).
T7 riboprobe was prepared as follows: To 2 μl of cosmid DNA, 3 μl of buffer (40 mm Tris HCl at pH 8.0, 10 mmMgCl2, 10 mm spermidine, 50 mm NaCl), 2 μl of 100 mm DTT, 1 μl of rNTP (5 mm each, Promega), 1.5 μl [32P]UTP (ICN), 8 μl of tRNA (10 mg/ml, Sigma), 1 μl of RNAsin (Promega), 0.5 μl of T7 RNA Polymerase (NEB), and 11 μl of DEPC-treated H2O was added. The reaction was incubated for 75 min at 37°C. After precipitation, the pellet was resuspended in 50 μl of H2O and added to the hybridization.
Southern Blotting and Hybridization
Alkaline capillary blotting was performed on Hybond N+ (Amersham) and carried out according to the manufacturer’s recommendations. Southern blots were prehybridized (4–6 hr) and hybridized (overnight) at 65°C in 25 ml of 6× SSC (20× SSC: 3m NaCl, 0.3 m Na3citrate, pH 7.0), 5× Denhardt’s [100× Denhardt’s: 2% (w/vol) BSA, 2% (w/vol) Ficoll, and 2% (w/vol) PVP], 0.5% SDS, and 100 μg/ml herring sperm DNA. Filters spotted with clones were prehybridized and hybridized in 25 ml (total human PAC/BAC library filters) and 8 ml (21q11 sublibrary filters) of Church solution (0.5 m Na-phosphate buffer at pH 7.2, 7% SDS, 1 mm EDTA, 0.1 mg/ml tRNA). Blots were washed in 2× SSC, 0.1% SDS for 15 min at room temperature and subsequently with 0.2× SSC, 0.1% SDS at 65°C for 30 min. Autoradiography was performed with X-ray film or images were visualized with PhosphorImager screens (Molecular Dynamics).
PFGE
PAC DNA (0.50–1 μg) was digested at 37°C with one or a combination of the following restriction enzymes, NotI,SalI (NEB), XhoI (Life Technologies). Genomic DNA in agarose blocks was prepared by use of standard protocols (Anand 1995). PFGE was carried out with a CHEF-DR II system (Bio-Rad) according to the manufacturer’s recommendations with 0.5× TBE (10× TBE: 108 grams of Tris base, 55 grams of boric acid, 40 ml of 0.5 mEDTA at pH 8.0 per liter) and 1% rapid agarose (Life Technologies). Electrophoresis conditions were as follows: For the 4- to 200-kb window, 5.2 V/cm, 14 hr, switch time 3–15 sec; for the 100- to 1600-kb window, 6 V/cm, 22 hr, switch time 40–80 sec. DNA size markers used (see Fig. 3, from left to right) were Lambda ladder (Bio-Rad), high molecular weight DNA markers (Life Technologies), 1-kb DNA ladder (Life Technologies).
PAC/BAC Insert Isolation
PAC/BAC clones were digested at 37°C with NotI (NEB). PFGE was carried out as described above with 1% low-melting-point agarose gels (Life Technologies). Inserts were cut out of the gel and weighed. To an average slice that weighed 250 mg, 150 μl of H2O, 40 μl of 1 m NaCl, and 8 μl of 0.5m EDTA (pH 8.0) were added. The agarose slice was dissolved at 68°C for 15 min, followed by incubation at 37°C for 15 min. β-Agarase I (2 μl) was added (Calbiochem, 1 U/ml) and the sample incubated at 37°C for 14 hr. After phenol/chloroform/isoamyl alcohol (24:1) extraction, 360 μl of sample was precipitated with 5.4 μl of 10 mg/ml Dextran T40, 95 μl of 1 mNaCl, and 1062 μl of 100% ethanol. The pellet was dissolved in 20 μl of H2O.
FISH Analysis
PAC or cosmid DNA was labeled with biotin-11-dATP (Gibco BRL) (for green signals) or with digoxygenin-11-dUTP (Boehringer Mannheim) (for red signals). Approximately 0.2 μg of each labeled PAC DNA sample was mixed with 5 μg of Cot1 DNA (Gibco BRL), precipitated, denatured, allowed to preanneal, and then applied to a denatured slide and hybridized overnight. Slides were washed and biotin/digoxygenin presence was detected with avidin-FITC/Anti-digoxygenin-rhodamine, yielding green and red signals, respectively. Chromosome images were captured by use of a Zeiss Axioskop microscope equipped with a charge coupled device (CCD; Photometrics) connected to an Apple Powermac 8100 computer. Separate images of probe signals and DAPI banding patterns were pseudocolored and merged by use of SmartCapture software (Vysis, Inc., Chicago, IL, USA). Results were derived from at least 20 separate and clearly readable metaphases, or at least 30 interphase nuclei (for consistant probe-ordering purposes).
Human–rodent hybrid cell lines were grown in RPMI 1640 (Life Technologies), with antibiotics and 10% fetal calf serum. Genomic DNA was isolated by standard methods.
Acknowledgments
We thank Pieter de Jong for the access to the PAC library, Colin James for help in electronic analysis of data, students Ana Campos, Olusola Akinwunmi, Julius Adansola, and Joanne Symons for help in the isolation of some cosmid and PAC clones, Denise Sheer for advice in planning FISH experiments, John Crolla for some unpublished confirmatory FISH results, Barbara Groet for critical reading of the manuscript, Charles Buys and Elizabeth Fisher for hybrid cell lines, Jan-Fang Cheng for the collection of published cDNAs, Nico Katsanis for the RIP140 EST and the MRC–Human Genome Mapping Project Resource Centre UK for access to various molecular resources. A.P.S. has been partly supported by the Constance Bequest Fund and P.R.B. by the Science and Technology Programme JNICT-Portugal. We thank the Central Research Fund of the University of London for help in purchase of a machine. This work has been supported by the BMH4-CT96-0554 grant from the Commission of European Communities and partly by the Human Genome Mapping Project Strategic grant G94226164 from the Medical Research Council, UK.
The publication costs of this article were defrayed in part by payment of page charges. This article must therefore be hereby marked “advertisement” in accordance with 18 USC section 1734 solely to indicate this fact.
Footnotes
-
↵6 Corresponding author.
-
E-MAIL dnizet{at}pharm.lon.ac.uk; FAX 44-171-278 1939.
-
- Received August 4, 1997.
- Accepted February 19, 1998.
- Cold Spring Harbor Laboratory Press














