Modification of Bacterial Artificial Chromosome Clones Using Cre Recombinase: Introduction of Selectable Markers for Expression in Eukaryotic Cells
Abstract
Bacterial artificial chromosome clones (BACs) are widely used at present in human genome physical mapping projects. To extend the utility of these clones for functional genomic studies, we have devised a method to modify BACs using Cre recombinase to introduce a gene cassette into the loxP sequence, which is present in the vector portion of the BAC clone. Cre-mediated integration is site specific and thus maintains the integrity of the genomic insert sequences, while eliminating the steps that are involved in restriction digest-based DNA cloning strategies. The success of this method depends on the use of a DNA construct, RETRObac, which contains the reporter marker green fluorescent protein (GFP) and the selectable marker neomycin phosphotransferase (neo), but does not contain a bacterial origin of replication. BAC clones have been modified successfully using this method and the genomic insert shows no signs of deletions or rearrangements. Transfection efficiencies of the modified BACs into human or murine cell lines ranged from 1% to 6%. After culture in media containing G418 for 3 weeks, ∼0.1% of cells previously sorted for GFP expression acquired stable antibiotic resistance. Introduction of a human BAC clone that contains genomicp53 sequences into murine NIH3T3 cells led to expression of human p53 mRNA as determined by RT–PCR, demonstrating that sequences contained on the BAC are expressed. We believe that GFP–neo modified BAC clones will be a valuable resource in efforts to study biological effects of known genes as well as in efforts to clone and analyze new genes and regulatory regions.
The recent effort to construct high resolution physical maps of the human genome have made use of genomic libraries contained in several cloning vectors, including yeast artificial chromosomes (YACs), bacterial artificial chromosomes (BACs), human artificial episomal chromosomes (HAECs), P1 artificial chromosomes (PACs), P1 vectors (P1s), and cosmid clones (Deaven et al. 1986; Burke et al. 1987; Ioannou et al. 1994; Shepherd et al. 1994; Sun et al. 1994; Kim et al. 1996 ). BAC libraries are widely used at present because they are commercially available and they have the advantage of containing large inserts that average 140 kb (Shizuya et al. 1992). In addition, BACs are very stable because they are based on theEscherichia coli F-factor plasmid, which maintains a very low copy number in bacterial cells, thus minimizing the possibility of recombination and resultant chimeric clones.
In spite of these advantages, BACs cannot be used as shuttle vectors because they do not contain a selection system or reporter genes suitable for expression in eukaryotic cell lines. Thus, when BACs of interest are identified, it is necessary to modify or “retrofit” them to use them for biological studies. Current methods of retrofitting BACs rely on performing restriction enzyme digests to isolate genomic fragments, followed by ligation into vectors that contain the desired markers (Mejia and Monaco 1997) or on homologous recombination with a shuttle vector that must be constructed specifically, based on the sequences present in the genomic insert (Yang et al. 1997). Newer BAC libraries, based on modified vectors that contain genes that can be expressed in mammalian cell lines have been devised; however, these clones do not correlate with those of existing libraries (Baker and Cotten 1997). Thus, a method whereby existing BAC clones could be modified easily to contain specific marker genes would be highly desirable for their subsequent use in biological assays.
Here, we report a method to retrofit BAC clones using site-specific recombination between loxP sites contained on the BACs and on a modifying construct. The loxP sequence is derived from bacteriophage P1 and consists of two 13-bp inverted repeats separated by an 8-bp spacer (Sternberg and Hamilton 1981; Abremski et al. 1983;Fukushige and Sauer 1992). Bacteriophage P1 also encodes Cre recombinase, which catalyzes site-specific recombination betweenloxP sites. Recombination between loxP sites that are carried on separate vectors results in integrative recombination. The success of this method is based on the use of a plasmid-based construct, RETRObac, which carries the modifying genes, but does not contain a bacterial origin of replication, and thus cannot replicate within a bacterial host cell unless it has been integrated into the BAC clone. The use of RETRObac minimizes background and obviates the need to screen resultant clones to determine whether the modification has been successful. This strategy provides the following advantages: the insert genomic DNA remains undisturbed, it does not require knowledge of the DNA sequence of the insert, it is independent of restriction sites present in the insert, and it provides the flexibility to introduce any markers of interest into the BAC clone.
We have used this method to introduce the genes for green fluorescent protein (GFP) and neomycin phosphotransferase (neo) into BAC clones. No rearrangements or deletions were detected in the modified BACs. Several modified clones were introduced into mammalian cell lines, from which long-term stable integrants were derived that expressed genomic sequences contained within the BAC clone. We believe that this retrofitting strategy using RETRObac will prove to be a valuable resource for isolating and analyzing new genes, as it allows for direct selection of cells that contain transfected BACs. The large size of the genomic insert in the BAC vector improves the chances that a single BAC clone will contain a gene in its entirety, along with its regulatory regions, making them well suited for eukaryotic genetic transfer studies.
RESULTS
Preparation of the Plasmid pBGLS and the Retrofitting Construct RETRObac
Plasmid pEGFP-C1 contains GFP under control of the constitutive CMV promoter. GFP is an intrinsically fluorescent jellyfish protein that requires no cofactors (Chalfie et al. 1994; Cheng et al. 1996;Levy et al. 1996). When introduced into mammalian cells, expression of GFP can be monitored by means of fluorescent microscopy or fluorescence-activated cell sorter (FACS) analysis. The plasmid also contains neo under control of a bacterial β-lactamase promoter and a viral SV40 promoter, thus conferring resistance to kanamycin in bacteria and G418 in mammalian cells. The following elements were introduced into pEGFP-C1: a β-lactamase promoter, aloxP site, and a lacZ gene. In addition,AscI restriction enzyme sites were placed on both sides of the pUC origin of replication, resulting in the plasmid pBGLS (Fig.1). An AscI restriction digest of pBGLS results in a 7.5-kb fragment and a 1-kb fragment, which contains the pUC origin of replication. Gel purification of the 7.5-kb fragment and its subsequent ligation produced the retrofitting construct RETRObac.
Preparation of RETRObac and a schematic diagram illustrating BAC retrofitting. The plasmid pBGLS contains the genes GFP, neo,and lacZ. AscI digestion of pBGLS followed by gel purification of the 7.5-kb fragment and its subsequent ligation results in the final retrofitting construct RETRObac, which lacks the bacterial origin of replication. Recombination between RETRObac and a BAC clone at theloxP sites leads to integration of all of RETRObac into the BAC clone, leaving the genomic insert unaltered. The approximate positions of PCR primers Bac-F, Bac-R, and Lac-R are indicated. Constructs are not drawn to scale.
Retrofitting BAC Clones With RETRObac
Cre recombinase was used to catalyze in vitro recombination between loxP sites contained on the BAC clone and RETRObac. Figure 1 shows the retrofitting scheme and the resultant modified BAC clone. Recombination of RETRObac with a BAC clone results in a modified BAC, which has dual antibiotic resistance, chloramphenicol (from the BAC vector) and kanamycin (from RETRObac). Recombination at theloxP sites also separates the lacZ gene from its promoter. This allows for color screening of clones that have recombined at the loxP sites, as nonrecombined species are blue when grown on plates containing X-gal, whereas recombined clones are white.
Trial experiments using pBGLS as the retrofitting construct showed that virtually all of the colonies that were resistant to both chloramphenicol and kanamycin were blue (396 of 397 colonies in one trial experiment). This suggested that these colonies contained both the plasmid and an unmodified BAC clone, or that they contained a modified BAC clone as well as additional copies of the high copy number plasmid. Because both of these events would display blue staining, it would have been necessary to screen these colonies further to identify those that contained the modified BAC clones. To avoid this time consuming procedure, we decided to remove the pUC origin of replication from pBGLS. Because RETRObac cannot replicate within a host cell unless it has integrated into the BAC clone, all bacterial colonies selected for dual antibiotic resistance should contain retrofitted BAC clones only.
Table 1 shows the results of a retrofitting experiment using BAC clone 261M17 and RETRObac in the presence of X-gal. Recombination resulted in colonies that were resistant to both chloramphenicol and kanamycin only when Cre recombinase was added. In addition, all of these colonies were white, suggesting that recombination had occurred at the loxP site, thus separating the lacZ gene from its promoter. The inability to obtain any colonies that were resistant to both antibiotics in the absence of Cre shows that recombination is completely dependent on the presence of the recombinase. The number of colonies that were resistant to both antibiotics, compared to chloramphenicol-resistant only (230/106 colonies), allowed an estimate of the efficiency of Cre-mediated recombination at ∼0.024%. When colonies were selected with kanamycin only, roughly the same number of colonies were obtained as compared to selection with both antibiotics. However, a small fraction of these colonies were blue, most likely representing colonies that contained pBGLS plasmid, which had escaped in vitro removal of pUC origin of replication sequences. We have obtained comparable results for all seven BAC clones that have been modified by this method (033B22, 067L19, 149K11, 222N15, 228I10, 261M17, 350A20).
Results of Retrofitting BAC Clone 261M17
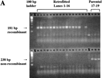
PCR analysis allows for the identification of clones that have recombined specifically at the loxP site. Whereas the primer pair Bac-F and Bac-R detects a 238-bp product in the parental nonrecombined BAC clone, primer pair Bac-F and Lac-R detects a 181-bp product only if recombination has taken place at the loxPsite. Figure 2A shows the results of PCR analysis of 16 randomly selected chloramphenicol–kanamycin-resistant colonies after retrofitting of BAC clone 261M17. Parental BAC clones were positive only for a 238 bp product. In contrast, 15 of 16 retrofitted clones were positive for the 181-bp product, suggesting that for the vast majority of clones, recombination had occurred specifically at the loxP site. Note that PCR across a loxP site generally results in a doublet, which we attribute to the secondary structure of this sequence that contains two 13-bp inverted repeat sequences.
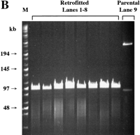
Analysis of randomly selected colonies obtained after recombination of BAC clone 261M17 and RETRObac. (A) Whole cell PCR of retrofitted clones (lanes 1–16) and parental BAC clones (lanes 17–19). (Top) Of 16 clones, 15 are positive for an expected 181-bp recombined product using primers Bac-F and Lac-R, whereas all parental clones are negative. (Bottom) Only the parental clones are positive for a 238-bp nonrecombined product using primers Bac-F and Bac-R. (X) Skipped lanes. (B) PFGE after AscI restriction digest of retrofitted clones (lanes 1–8) or the parental BAC clone (lane9). All eight retrofitted clones show a single band of ∼100 kb, whereas the parental clone is undigested by AscI. (C) Fingerprint analysis after HindIII restriction digest of retrofitted clones (lanes 1–10) or the parental BAC clone (lane 11). All 10 retrofitted clones show identical bands, whereas the parental clone has three differences.
To determine whether any deletions of the genomic insert in the retrofitted BAC clones had occurred, we perfomed pulsed field gel electrophoresis (PFGE) after an AscI restriction digest. Because RETRObac was engineered to contain an AscI site, retrofitting results in an additional AscI site in modified BAC clones. Figure 2B shows the results of PFGE of colonies obtained from the retrofitting of BAC clone 261M17. Of a total of 19 chloramphenicol–kanamycin-resistant colonies, eight randomly selected clones were digested with AscI. All eight clones showed a single band measuring 100 kb, whereas the parental BAC clone was uncut by AscI, suggesting that gross deletions of the modified DNA had not occurred in any of the clones that were tested. For all seven of the BACs that have been retrofitted, two colonies were analyzed using PFGE. In all cases, PFGE after an AscI digest showed that the size of the resultant band (or bands) in the modified clones was ∼7 kb larger than the parental band, consistent with integration of RETRObac, which measures 7.5 kb. A NotI restriction digest resulted in two additional fragments in the modified clones of 4 and 3.5 kb, which were too small to resolve by PFGE but were seen when separated using conventional electrophoresis.
To detect whether rearrangement of the genomic DNA had occurred during recombination, we used DNA fingerprint analysis after aHindIII restriction digest. Figure 2C shows the results of one of these experiments, analyzing 10 of 19 randomly selected colonies after the retrofitting of BAC clone 261M17. All 10 retrofitted clones showed an identical banding pattern, suggesting that rearrangement of the DNA had not occurred. The parental banding pattern showed three differences as compared to the retrofitted banding pattern, as expected because of integration of RETRObac.
Transfection and Expression of Retrofitted BAC Clones in Mammalian Cell Lines
Liposome-mediated transfection was used to introduce DNA from retrofitted BAC clones into the SW480 human colorectal cancer cell line. Preliminary experiments using plasmid pEGFP-C1 to introduce the reporter gene GFP showed a transfection efficiency of 25%, as determined by FACS analysis. The same conditions were used to transfect 10 μg of DNA from retrofitted BAC clone 222N15. Figure 3 shows the cells 1 week after transfection, viewed using either bright-field or fluorescent microscopy. Visual analysis after 2 days showed that ∼10% of the cells were green. FACS analysis was performed to quantitate relative green fluorescence. Figure 4 presents a histogram showing relative fluorescence of SW480 cells transfected with parental BAC DNA or retrofitted BAC DNA. Whereas the parental transfection showed only background levels of green fluorescence (0.13%), cells transfected with retrofitted BAC DNA showed 5.73% of the cell population emitting green fluorescence. GFP-positive cells (104) were collected and cultured in media containing G418 for 3 weeks. Stable antibiotic resistance was obtained in 0.1% of these cells, half of which also retained their fluorescence, verifying that retrofitted BAC clones express their marker genes.
SW480 cells, 7 days after transfection using DNA from retrofitted BAC clone 222N15. (A) A bright-field view of the cells at 200× magnification. (B) The same field of cells viewed using fluorescent microscopy.
FACS analysis of GFP expression in transfected SW480 cells performed 2 days after transfection of modified or unmodified BAC DNA. (A) Profile of cells transfected with DNA from parental nonretrofitted BAC clone 222N15 shows low-level background fluorescence (0.13%) of gated viable cells. (B) Cells transfected with DNA from the retrofitted BAC clone shows a population emitting green fluorescence (5.73%) using markers from 1.4 to 3.7 log fluorescence.
To determine whether retrofitted BAC clones express genes contained within their genomic sequences, human BAC clone 261M17, which containsp53 genomic sequences, was transfected into the murine NIH-3T3 cell line, which expresses wild-type murine p53. Two days after transfection, pooled cells were analyzed by RT–PCR to detectp53 expression. In several experiments, we were unable to detect message using human-specific p53 primers, although murine-specific p53 primers always resulted in a positive signal. These results suggested that either human genomic p53 was not being expressed or that we were not detecting its expression, possibly because of low level expression of the human gene in the heterologous system. To differentiate between these possibilities we selected for long-term integrated clones by adding the antibiotic G418 to the culture media for 4 weeks. Control transfections using DNA from parental BAC clones did not result in any colonies during this period. Cells were then pooled and subjected to RT–PCR analysis. As seen in Figure 5, all cells express endogenous murine p53mRNA. However, only cells transfected with retrofitted P53 BAC DNA were positive for human p53 message. As expected, a control transfection using DNA from retrofitted BAC clone 67L19 was negative for human p53 expression.
RT–PCR analysis of NIH-3T3 cells transfected with retrofitted BAC DNA. Cells were transfected with DNA from retrofitted BAC clone 261M17, which contains p53 genomic sequences (P53 BAC) or BAC clone 67L19 (Control), cultured for 4 weeks in the presence of G418 and pooled for analysis. RT–PCR using primers specific for murinep53 (right) was positive for an expected 194-bp product in both transfections. RT–PCR using primers specific for humanp53 (left) was positive for an expected 199-bp product only in cells that were transfected with P53 BAC DNA. All lanes were negative when reverse transcriptase was not added.
DISCUSSION
We have described a simple and efficient method to modify BAC clones to contain additional genes in the BAC vector. Specifically, the method was used to introduce a gene cassette, RETRObac, which contains the reporter marker GFP and the selectable markerneo, into any BAC clone. Combining purified RETRObac and BAC DNA along with Cre recombinase in vitro leads to integrative recombination between the loxP sites contained on both constructs. We refer to this procedure as BAC retrofitting, indicating a retroactive modification to a construct, a term first coined to describe targeted integration of the yeast-selectable markerLYS2 and the mammalian-selectable marker thymidine kinase into a YAC clone by homologous recombination (Eliceiri et al. 1991). Subsequent retrofitting strategies used Tn10-mediated insertion of neo into P1 clones (Sternberg 1994). Eukaryotic cells that are transfected with a BAC that has been retrofitted with RETRObac are easily identified by FACS analysis or antibiotic selection. These modifications allow for the use of the retrofitted BAC clones as shuttle vectors and increase their utility in functional studies.
The success of this method rests in large part on the use of the retrofitting construct RETRObac, which contains a loxP site but does not contain a bacterial origin of replication. This modification minimizes the background that results from bacterial colonies that are resistant to both chloramphenicol and kanamycin and that contain the BAC clone and pBGLS plasmid. With RETRObac replacing pBGLS, all colonies with dual antibiotic resistance contain retrofitted BACs. Additional screening of recombinant clones by monitoring for expression of β-galactosidase is possible, but not necessary.
RETRObac is applicable to the widely used BAC libraries provided by Research Genetics (Huntsville, AL) and Genome Research (St. Louis, MO). A similar approach can be used to retrofit any vector, provided it contains a loxP site and a suitable antibiotic resistance gene. The retrofitting of existing PAC and P1 clones would require modification of RETRObac to replace kanamycin with an alternative antibiotic resistance gene, such as ampicillin, as these clones are already resistant to kanamycin.
Existing BAC clones are generally unsuitable for eukaryotic expression studies and BAC libraries based on newer vectors have been constructed to make them more useful for this purpose (Baker and Cotten 1997). However, it is not possible to correlate clones from these libraries with existing clones. Other investigators have devised methods to modify existing BAC clones. Mejia and Monaco (1997) describe modification of BACs and PACs by isolating NotI-digested insert DNA and then ligating it into a vector containing alacZ reporter gene and neo. This traditional DNA cloning approach is straightforward and has been used successfully to modify BAC clones. Yang et al. (1997) describe the retrofitting of BAC clones in E. coli using homologous recombination of a shuttle vector that has been designed specifically to integrate into a known sequence in the genomic DNA. Pronuclear injection of one modified BAC into fertilized mouse zygotes resulted in transgenic mice that transmitted the intact BAC in their germ line.
The retrofitting method that we describe provides several advantages over these previous approaches. Because our procedure relies on a well-characterized site-specific bacteriophage recombination system, it is independent of the restriction sites present in the genomic DNA, which remains unaltered. The same vector can be used for all BACs and does not need to be adapted to the specific genomic sequences necessary for homologous recombination. Dual antibiotic selection and an optional color screen guarantees that the vast majority of resultant clones will have been successfully retrofitted. Because of this, it is theoretically possible to perform all of the modification and selection steps in microtiter plates, without individual verification of clones. Thus, the method might be applied potentially to modify a gridded BAC library, while maintaining the grid coordinate reference system.
The use of modified BACs opens new areas for functional and biological research using genomic DNA. The large size of the genomic DNA insert in the BAC vector makes it likely that a single BAC will contain a gene in its entirety, along with its regulatory regions, and makes it an appealing target for introduction into cell lines to study gene expression, function, or regulation. Recent advances using RecA-assisted restriction endonuclease cleavage of large insert clones allows for site-specific mutagenesis and also deletions and fusions of BAC clones (Boren et al. 1996). These advances, in combination with BAC retrofitting, will permit researchers to examine the biological effects of wild-type genomic DNA contained on BAC clones, as well as mutant constructs generated by these methods. In addition, because the BAC vector also contains a cosN site, the modified BAC clone can be linearized with the enzyme λ-terminase. Linearization of the BAC may improve chromosomal integration and genetic fidelity of the integrated clones (Rackwitz et al. 1984), although it might decrease the expression of vector genes from unintegrated DNA, thus possibly precluding their use in direct FACS selection. We believe that our retrofitting procedure will prove to be a valuable resource for identifying and analyzing new genes as it allows for functional biological studies using both dominant selection and flow cytometry analysis.
METHODS
Isolation of BAC Clones and BAC DNA
DNA pools of a human BAC library were obtained from Research Genetics. Individual BAC clones were isolated in two rounds of 48 PCR reactions using various published primers (Bookstein et al. 1994) or primers that we designed using sequences obtained from GenBank (accession nos. M81104, X01237, X54156, X00884, X00885). The clone numbers reported in this paper correspond to the designation of Research Genetics. DNA was prepared using Qiagen tip-500 columns (Chatsworth, CA) and the suggested protocol modified for BACs as follows. Cells were inoculated in 1 liter of LB media containing 25 μg/ml chloramphenicol and incubated overnight at 37°C. The culture was divided into two 500 ml preparations, centrifuged, resuspended in buffer P1 containing 1 mg/ml lysozyme, and incubated at room temperature for 15 min. DNA was eluted from tip-500 columns by adding three 5-ml aliquots of buffer QF, which was heated to 65°C. Typical yields for BAC DNA ranged from 25 to 60 μg.
Preparation of the Retrofitting Construct RETRObac
Plasmid pEGFP-C1, which contains GFP and neo, was obtained from Clontech (Palo Alto, CA). PCR primers LoxP-F (aagtttacagtacatatgactagtacaatggaagtccgagctcat) and LoxP-R (ataagtattaatcatatgacgcgtctctgatgccgcatagttaa) were used to amplify a 156-bp portion of the BAC clone, containing the loxP sequence and a NotI restriction enzyme site. The primers contain aSpeI restriction site at one end and flanking NdeI sites. Restriction digest of the amplified fragment with NdeI and pEGFP-C1 with AseI results in 4-bp compatible overhangs, which were ligated to each other. The lacZ gene was isolated as a NotI fragment from the plasmid pCMVβ (Clontech) and inserted into theNotI site of the amplified fragment. Complementary oligonucleotides promoter-F (ctagggcgcgcctctaaatacattcaaatatgtatccgctcatgagacaataaccctgataaatgcttt) and promoter-R (ctagaaagcatttatcagggttattgtctcatgagcggatacatatttgaatgtatttagaggcgcgcc), which contain the minimal 35 bp of the bacterial β-lactamase promoter as well as an AscI restriction site were synthesized, annealed to each other, and cloned into the SpeI site to drive expression of the lacZ gene. Finally, the resulting plasmid was digested with BsaI, the overhangs filled in using T4 DNA polymerase and an AscI linker (New England BioLabs, Beverly, MA) was inserted, resulting in the plasmid pBGLS. To prepare the construct RETRObac, pBGLS was digested with AscI, resulting in a 7.5-kb fragment and a 1-kb fragment that contains the pUC origin of replication. The 7.5-kb fragment was purified from a 1% agarose gel using a QIAquick gel extraction kit (Qiagen), ligated, and the DNA purified using a QIAquick PCR purification kit (Qiagen) following the suggested protocols, resulting in the final BAC retrofitting construct RETRObac.
Retrofitting of BAC Clones
Cre enzyme was obtained from Novagen (Madison, WI), and the suggested protocol was used with the following modifications: 500 ng of BAC DNA, 50 ng of RETRObac, 1 unit of Cre recombinase, and 1× reaction buffer were added to an Eppendorf tube in a total volume of 30 μl. After incubations for 60 min at 37°C, 5 min at 70°C, 10 min at room temperature, 60 min on ice, phenol–chloroform–isoamyl extraction and ethanol precipitation were performed. The DNA was resuspended in 15 μl of H2O and added to 20 μl of DH10B electrocompetent cells. The mixture was transferred to a chilled 0.1-cm electroporation cuvette and electroporated at 1.8 kV, 200 Ω, 25 μF using a Bio-Rad Gene Pulser (Hercules, CA) (Sheng et al. 1995). One milliliter of LB media was added and incubated for 1 hr at 37°C, and aliquots were plated on LB plates containing 25 μg/ml chloramphenicol and 25 μg/ml kanamycin, prespread with 50 μl of 2% X-gal.
PCR and PFGE Analysis of Retrofitted Clones
A forward primer in the BAC clone (Bac-F, aggaaacgacaggtgctgaa) and reverse primers in the BAC clone (Bac-R, atatggtgcactctcagtacaatctg) and also in the lacZ fragment of pRETRObac (Lac-R, gctttagcaggctctttcgatc) were designed. Primer pair Bac-F and Bac-R amplifies a 238-bp product from the native BAC vector, whereas primer pair Bac-F and Lac-R amplifies a 181-bp product whenlacZ has integrated. Whole-cell PCR amplification was performed by growing individual bacterial colonies overnight and using 2 μl of cells in 20 μl of total PCR reaction. PFGE was performed using a CHEF-DR II electrophoresis unit (Bio-Rad). Restriction-digested DNA (325 ng) was separated on a 1% agarose gel using a pulse of 5–25 sec at 180 V for 20 hr.
FACS Analysis of SW480 Cells
The cell line SW480 was obtained from ATCC (Rockville, MD) and grown in a 37°C 10% CO2 humidified incubator in Dulbecco’s modified Eagle media supplemented with 4 mm l-glutamine, 10 mm HEPES, penicillin–streptomycin, and 10% fetal bovine serum. Cells (106) were plated into 100-ml tissue culture plates and incubated overnight. The following day, cells at 50% confluence were transfected using 60 μg of lipofectin (Life Technologies, Gaithersburg, MD) and 10 μg of retrofitted BAC DNA following the suggested protocol. Mock-transfected cells were prepared similarly, but no DNA was added to the lipofectin. Serum-supplemented medium was added 6 hr after transfection. The cells were viewed 48 hr after transfection using an Olympus inverted fluorescence microscope and then resuspended in phosphate-buffered saline containing 1 μg/ml propidium iodide for FACS analysis. Mock transfected cells were used to obtain background levels of fluorescence, and gates were used to exclude both debris and dead cells. Cells were analyzed and sorted on a Becton-Dickinson FACS Vantage (San Jose, CA). A 200 mW argon laser emitting at 488 nm was used to excite the cells and the fluorescence emission was detected in a bandpass filter of 530/30. GFP-positive cells (104) were collected and grown in media containing 1.5 mg/ml G418 for 3 weeks.
RT–PCR Analysis of NIH-3T3 Cells
NIH-3T3 cells were obtained from ATCC and treated similarly to SW480 cells with the following exceptions. Cells were grown in DMEM with 10% calf serum and 5 × 105 cells were plated into six-well tissue culture plates. Transfection was performed using 20 μg of lipofectamine (Life Technologies) and 4 μg of retrofitted BAC DNA. Serum supplemented medium was added 6 hr after transfection, and medium containing 1.0 mg/ml G418 was added 48 hr later and selection continued for 4 weeks. Total RNA from pooled clones was prepared using Trizol reagent (Life Technologies) following the suggested protocol. cDNA preparation and PCR were performed in one reaction using Titan RT–PCR reagent (Boehringer Mannheim, Indianapolis, IN) using an annealing temperature of 55°C and the products separated on a 4% Nusieve gel (FMC BioProducts, Rockland, ME). Primer pairs for RT–PCR were designed from exons 7 (P53h7-F, cctcaccatcatcacactgg) and 9 (P53h9-R, ctggggagaggagctggtgttgtt) to amplify a 199-bp human p53 product and from exons 10 (P53m10-F, tgctacagaggagtctggagac) and 11 (P53m11-R, gtgtctcagccctgaagtcataa) for a 194-bp murine p53 product.
Acknowledgments
We thank Dr. Hiroaki Shizuya for helpful suggestions, Dr. Brian Sauer for information about Cre recombinase, Dr. Mark Heller for comments on the manuscript, and Priscilla Fitting for technical assistance with FACS analysis. This study was supported by grants from the National Cancer Institute (R55-CA56707), the National Heart, Lung and Blood Institute (PO1HL53762-04), and the W.M. Keck Foundation.
The publication costs of this article were defrayed in part by payment of page charges. This article must therefore be hereby marked “advertisement” in accordance with 18 USC section 1734 solely to indicate this fact.
Footnotes
-
↵2 Corresponding author.
-
E-MAIL cwcw{at}uic.edu; FAX (312) 413-7963.
-
- Received October 20, 1997.
- Accepted February 9, 1998.
- Cold Spring Harbor Laboratory Press


















