
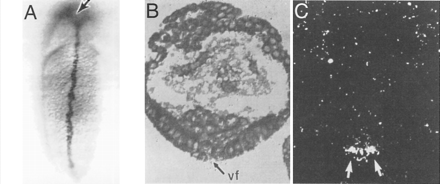
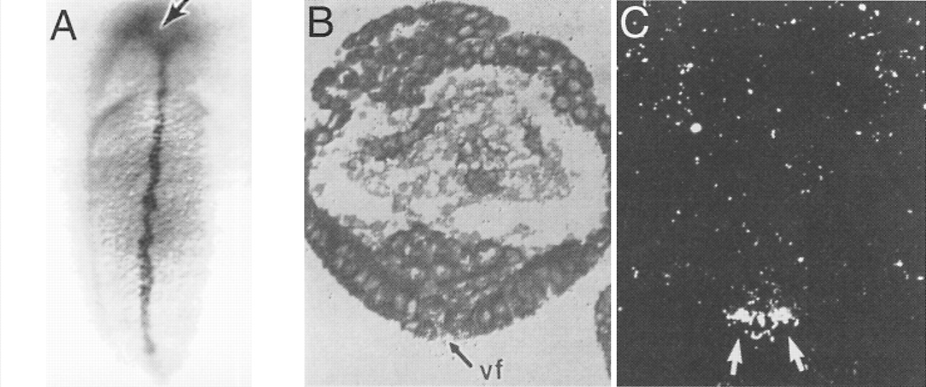
Comparison of the expression patterns of the sim genes. (A) Drosophila sim protein is expressed in the cells at the ventral midline (indicated by the arrow). (B,C) Bright-field and dark-field views, respectively, of a transverse section of a Drosophila embryo of the same stage as that inA. The sim transcripts are found in the midline cells (white arrows) at both sides of the ventral furrow (vf). (D,E) Transverse sections of an embryonic day (E) 9.5 mouse brain at the level of the diencephalon (di). The mouse Sim2 is expressed in the ventral diencephalon including its midline (D), whereasSim1 is expressed in cells adjacent to the midline (E). (F) Transverse section of an E10.5 mouse spinal cord shows that Sim1 is expressed in cells at both sides of the floor plate (fp), the ventral midline of the spinal cord. [A–C are adapted, with permission, from Thomas et al. (1988).]











