
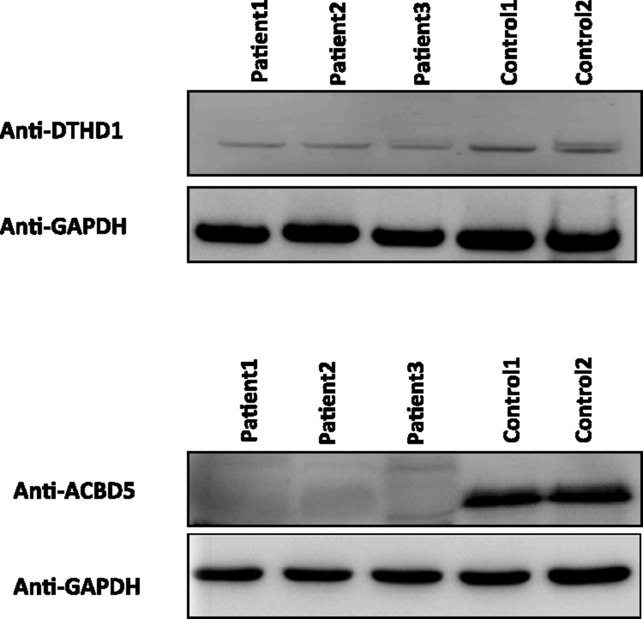
Figure 3.
Western blot analysis of DTHD1 and ACBD5 in two families representing novel syndromic forms of RD. Fourfold reduction in the DTHD1 intensity in the patients compared to control and near-absence of the band corresponding to ACBD5 among patients can be seen. GAPDH is used for a loading control.











