


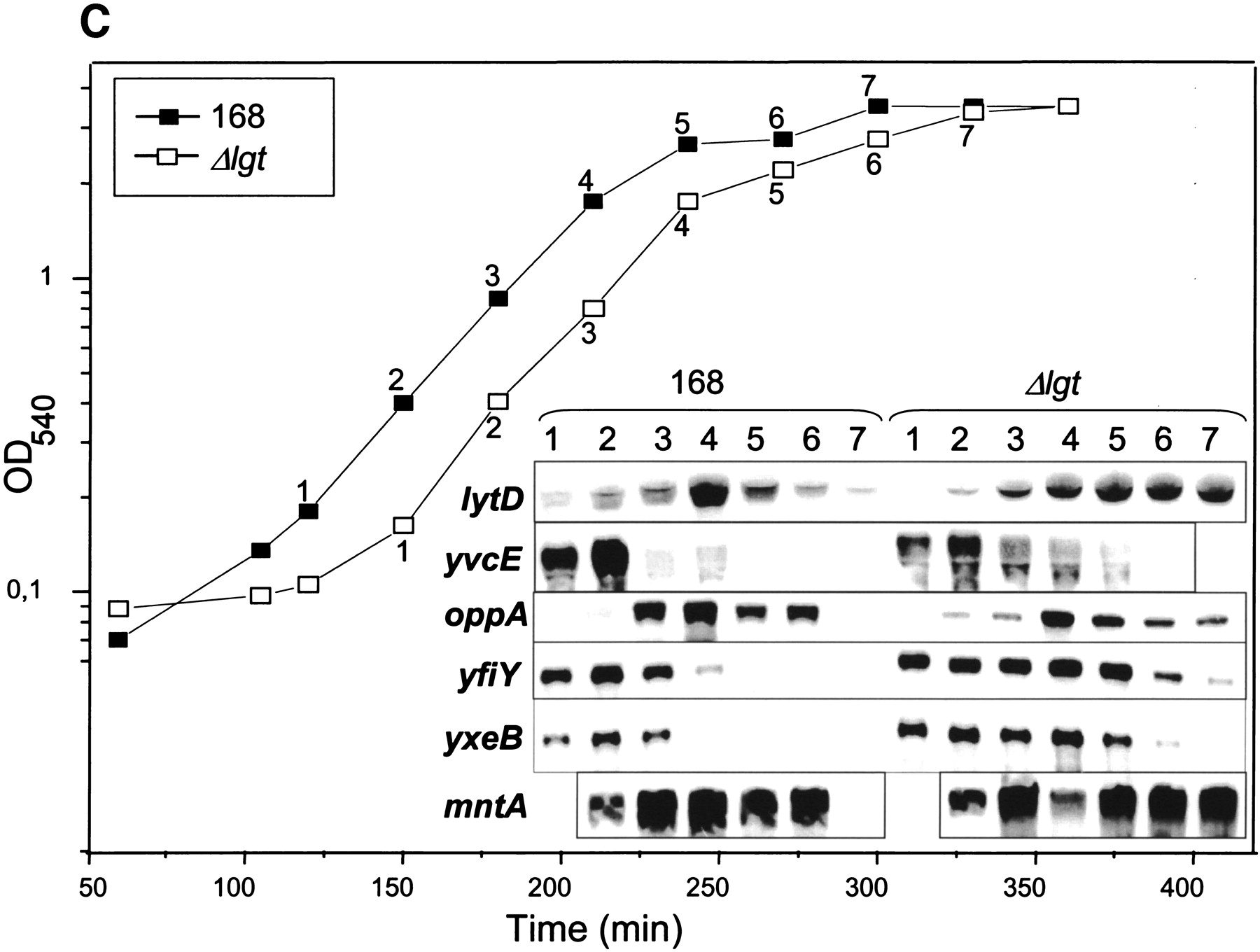
The extracellular proteome of diacylglyceryl transferase mutant cells of B. subtilis. (A) Cells of B. subtilisΔlgt, which lack the diacylglyceryl transferase, were grown in L-broth and proteins in the growth medium were harvested 1 h after entry into the stationary phase. After precipitation with TCA, the extracellular proteins were separated by 2D PAGE as described in the Methods section. The proteins identified by mass spectrometry are indicated. Non-lipoproteins that are present at elevated levels in the medium of the Δlgt strain are printed in bold; lipoproteins that are released into the medium of the Δlgt strain are printed in bold and marked with lipo (see also the listing in Table 4). This gel is available in the Sub2D proteome database (http://microbio2.biologie.uni-greifswald.de:8880/). (B). Comparison of extracellular and cell-associated lipoproteins of phosphate-starved lgt mutant and parental (168) cells. Phosphate starvation was provoked by growing the cells in a minimal medium with limiting amounts of phosphate as described previously (Antelmann et al. 2000). Cellular proteins and proteins in the growth medium were harvested 1 h after entry into the stationary phase provoked by phosphate starvation, and samples for 2D PAGE were prepared as described in the Methods section. The identity of all spots in the PstS cluster was confirmed by mass spectrometry. Lipoproteins that are present at increased levels in the medium due to the lgtmutation are marked with lipo and listed in Table 4. (C) Transcript analyses of the lytD, yvcE,oppA, yfiY, yxeB, andmntA genes ofB. subtilis Δlgt and the parental strain 168. Total RNA was isolated from cells grown in L-broth at different time points (1–7), as indicated in the growth curves. For the Northern blotting experiments, samples of 10 μg of total RNA, containing nearly identical amounts of rRNA (internal standard), were applied in each lane.











