
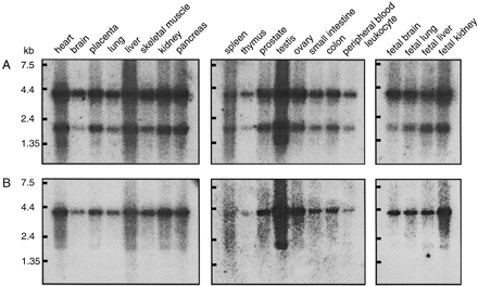
Figure 3.
Tissue distribution of human IMPACT mRNA. Northern blot hybridization using RNAs from the indicated tissues was performed with hybridization probes derived from the ORF (A) or 3′ UTR (B) of IMPACT.











