
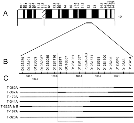
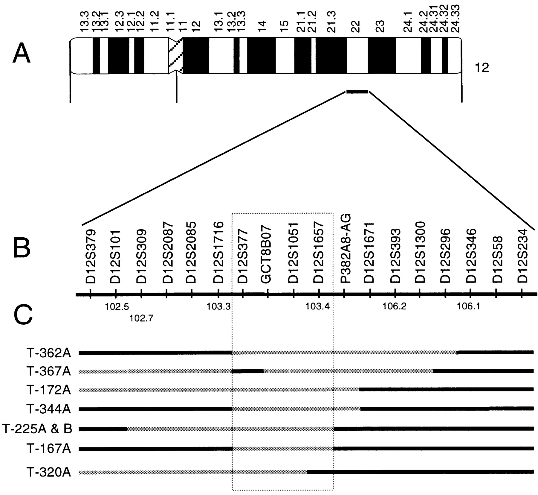
Identification of minimal deleted region at 12q22 by LOH analysis in male GCTs. (A) G-banded ideogram of chromosome 12 and the corresponding 12q22 deleted region identified by previous studies (Murty et al. 1992, 1996). (B) Physical map order depicting polymorphic markers used in LOH analysis from centromeric (left) to telomeric (right) orientation. The numbers below indicate the genetic distances on chromosome 12 (Généthon map; Dib et al. 1996). (C) Pattern of LOH in eight tumors that define the minimal deleted region. Tumor numbers are shown at left. Solid lines indicate region of retention of heterozygosity; shaded lines indicate region of LOH. The boxed region indicates the consensus minimal region of deletion (for definition, see Methods).











