
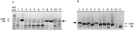
Results of testing STSs sWXD3555 (A) and sWXD3857 (B) against the chromosome panel pools (1–8), human genomic DNA (9), hamster genomic DNA (10), and mouse genomic DNA (11). sWXD3555 amplified only pools2 and 8 and the human control, indicating that it was found on the X chromosome. sWXD3857 amplified all eight pools and the human control, indicating that it was found on multiple chromosomes. (Shaded arrows) The 700- and 1000-bp molecular weight standards (50–2000 bp, Bio-Rad, Hercules, CA); (black arrows) the specific PCR product. Detail descriptions of the chromosome panel pools are included in Methods.











