
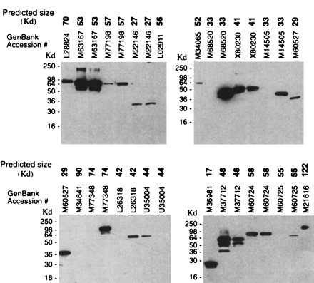
Western analysis of cell lysates from CHO cells transfected with pcDNA3.1/GS-based plasmids bearing the full-length human gene indicated by GenBank accession numbers. Predicted size of the recombinant protein is given in Kd (boldface). Cell lysates were made 48 hr after transfection and loaded on 12% Tris-glycine polyacrylamide gels. Proteins were transferred to membrane filters, and the filters were probed with the anti-V5/HRP conjugated antibody. Migration of recombinant proteins was visualized by chemiluminescence.











