
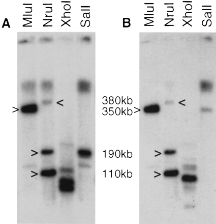
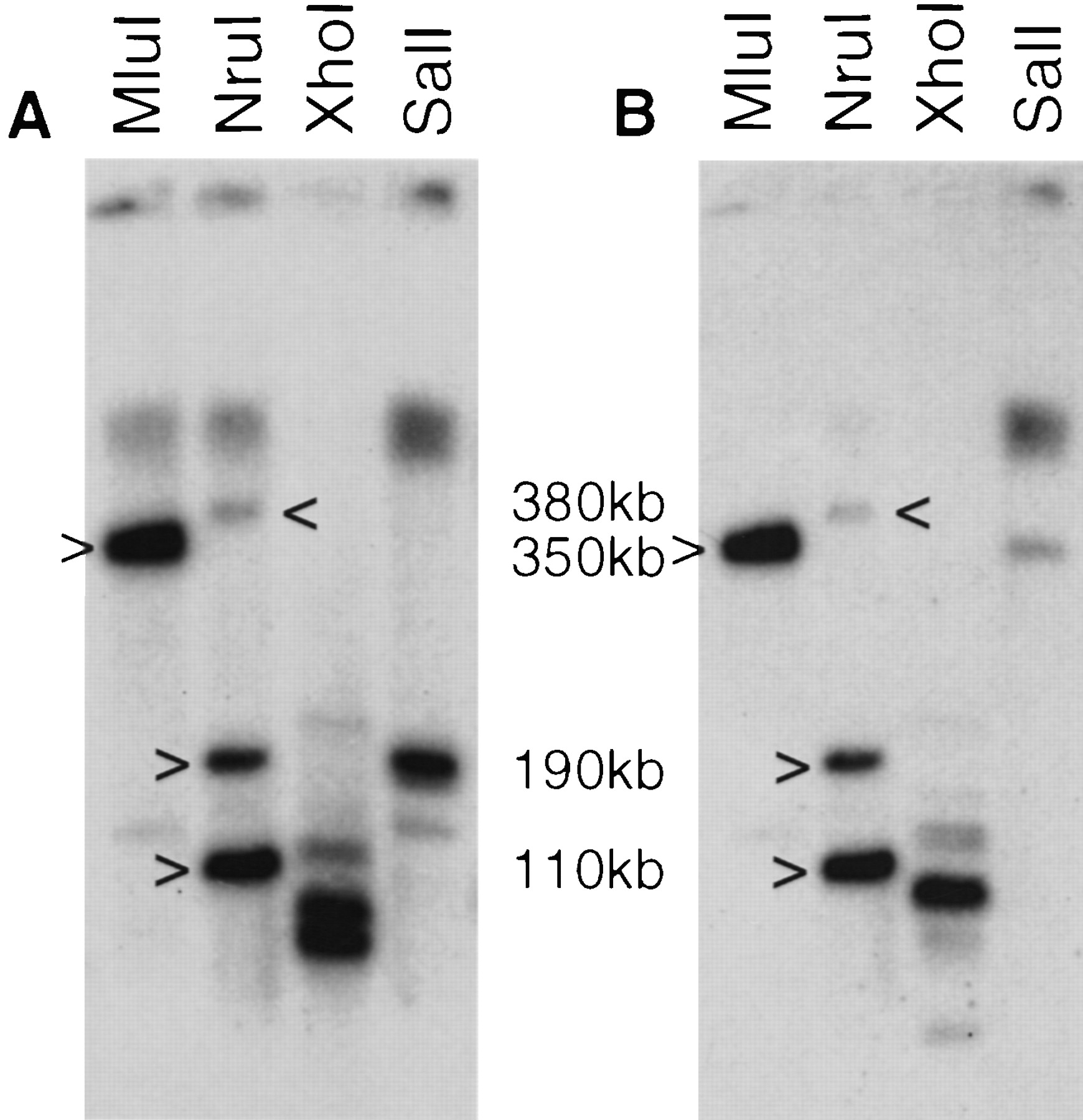
Physical linkage between the CRII gene cluster and theGART gene in chicken. DNAs from chicken embryonic fibroblasts was digested with MluI, NruI, XhoI, andSalI, electrophoresed, and blotted to a membrane. The same membrane was hybridized sequentially with a chicken IFNAR13′ probe (A) and, after stripping, with a chickenGART probe (B). Common bands are highlighted. Multiple NruI hybridizing fragments using probes devoid ofNruI sites are attributable to partial methylation of theNruI sites.











