
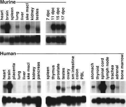
Figure 3.
Expression profile of Sox10 in mouse and human total tissue RNA samples. Northern blot hybridization of a Sox10 cDNA probe to multiple mouse and human poly(A)+ RNA samples (10 μg/lane, Clontech). (Top) Hybridizations with 1.3- and 1.7-kb 3′ end Sox10 cDNA probes that exclude the HMG box for mouse and human samples, respectively; (bottom) hybridizations with the RNA loading control L-32 (Dudov and Perry 1984).











