
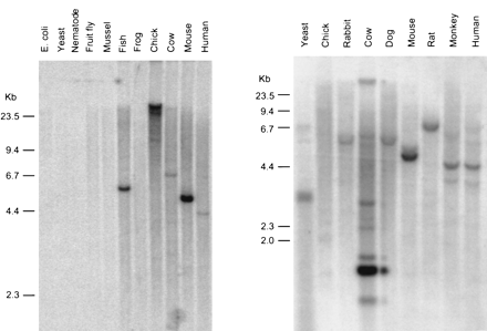
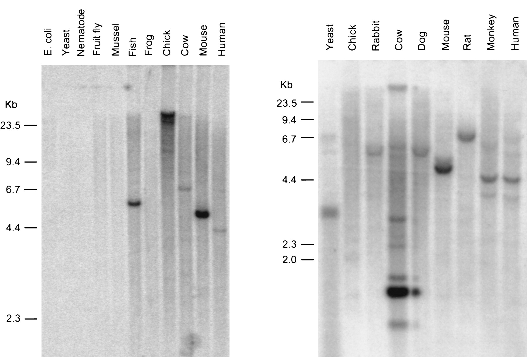
Cross-species conservation of Sox10. Southern blot autoradiographs from hybridization of EcoRI-digested genomic DNAs with the 3′ end of a mouse Sox10 cDNA probe (left, Quantum Biotechnologies; right, Clontech). Organism names are indicated above each lane. Specific species DNAs applied to the blot at left include Escherichia coli,Saccharomyces cerevisiae, Caenorhabditis elegans,Drosophila melanogaster, Tautoga onitis, Mytilus edulis, Bovis domesticus, Xenopus laevis,Gallus domesticus, Mus musculus, and Homo sapiens. (Left) Positions of molecular size standards in kb. Longer exposures of the filter in B revealed several weakly hybridizing bands within the chicken DNA sample that are not visible in this reproduction. Hybridization of a probe for a second gene to the filter in A produced a similar high molecular weight band and streaking in the chicken lane as seen here with theSox10 3′ cDNA probe.











