

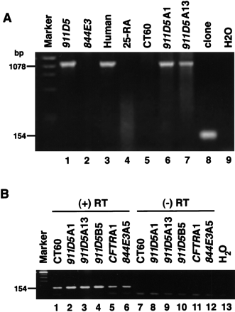
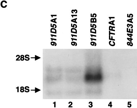
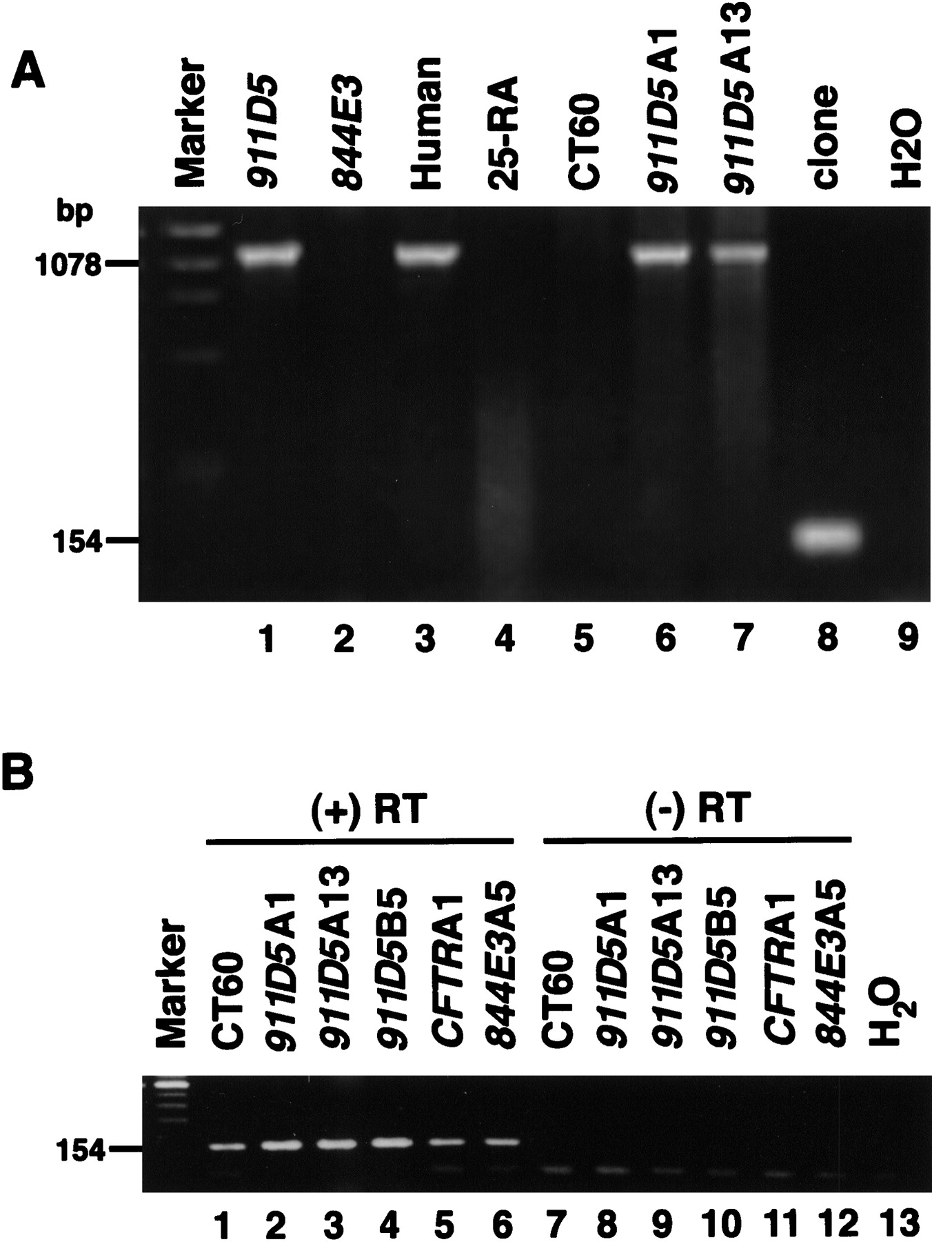
Mapping and expression analysis of the RDA gene fragment 7-R. (A) Ethidium bromide-stained agarose gel of PCR products amplified from the genomic DNA templates by use of primers for 7-R. (Marker) φX hae III; (lane 1) YAC 911D5; (lane2) YAC 844E3; (lane 3) normal human genomic DNA; (lane 4) 25-RA; (lane 5) CT60; (lane 6)911D5A1; (lane 7) 911D5A13; (lane8) clone (gene fragment 7-R); (lane 9) water control. The expected size of the PCR product is 154 bp as indicated. (B) Ethidium bromide-stained agarose gel of RT–PCR products obtained using RNA from the cell lines listed and primers for 7-R. (Marker) 100 bp; (lane 1) CT60; (lane2) 911D5A1; (lane 3) 911D5A13; (lane 4) 911D5B5 [another complemented cell line derived from fusion of CT60 with YAC 911D5 (Gu et al. 1997)]; (lane 5) CFTRA1; (lane 6) 844E3A5; (lanes 7–12) the same samples without addition of RT during cDNA synthesis. The expected size of the RT–PCR products is 154 bp as indicated. (C) Northern blot of RNA from the cell lines listed hybridized with a 32P-labeled probe derived from PCR amplification of gene fragment 7-R. (Lane 1) 911D5A1; (lane 2) 911D5A13; (lane 3)911D5B5; (lane 4) CFTRA1; (lane 5)844E3A5. Migration of the 28S and 18S RNA are indicated. Subsequent hybridization of this blot with a human GAPDH probe indicated similar loading among all samples except 911D5B5.











