
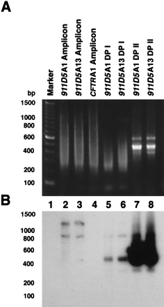
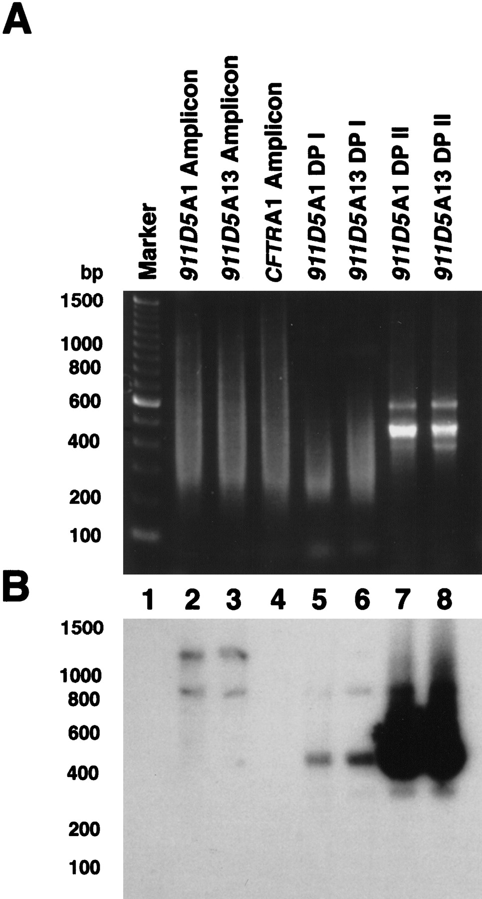
Analysis of difference products obtained by RDA. RDA was carried out with cDNA from the complemented cell lines 911D5A1 or911D5A13 as testers and cDNA from the control cell lineCFTRA1 as the driver. (A) Difference products were run on a 1.5% agarose gel that was stained with ethidium bromide. Representation amplicons and first and second difference products (DP I and DP II, respectively) are shown. (B) Southern blot of the gel shown in A, hybridized with a 32P-labeled probe generated by random priming of the full-length NPC1 cDNA.











