
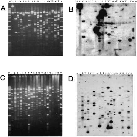
Cosmid clones hybridized with genomic DNA to identify fragments with repeated DNA sequences. Cosmid DNA samples were digested withHindIII and EcoRI (except ci no.1 in which the EcoRI was accidentally omitted) and separated on a 1% agarose gel (A, C). The fragments were Southern transferred to a membrane and probed with genomic DNA labeled by nick translation. The resulting autoradiographs are shown in B and D. DNA from clones 38P3 and 19O3 are in both sets and provide a basis for comparison between the two blots. (M)1-kb size markers (BRL). For randomly chosen cosmids (A, B): (lane 1)3A1; (lane2)3A2; (lane 3)3A3; (lane 4)3A4; (lane5)3A5; (lane 6)3A6; (lane 7)3A7; (lane8)3A8; (lane 9)27P1; (lane 10)27P2; (lane11)27P3; (lane 12)27P5; (lane 13)27P8; (lane14)27P9; (lane 15)27P10; (lane 1619O3; (lane1738P3. For cosmids located on chromosome 4 (C, D):(lane 1zfh2 #1; (lane 214B14; (lane319F4; (lane 416J20; (lane 558i20; (lane638P3; (lane 732D22; (lane 819O3; (lane937L7; (lane 1019H1; (lane 1111H1(lane1210M7(lane 13 ci #1; (lane 1454A21; (lane1548F16; (lane 1612A5. Note that ci no.1 is very similar to cosL7L.











