
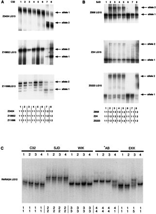
Examples of polymorphisms scored in the C32, SJD, *AB, WIK, and EKK individuals. (A) acrylamide gel data for markers Z3424, Z10852, and Z11696 on LG 13 heterozygous in the C32 strains and reconstructed genotypes for these heterozygous markers; (B) acrylamide gel data for markers Z858, Z24, and Z5223 on LG 15 and reconstructed genotypes for these heterozygous markers; (C) acrylamide gel data for SSCP marker rara2a in the C32, SJD, WIK, *AB, and EKK strains with alleles scored underneath.











