
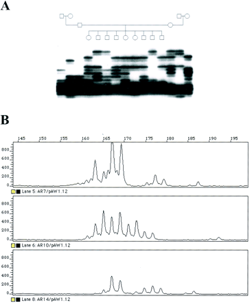
Figure 4.
Analysis of (CA)n repeat D21S188. (A) Segregation analysis of D21S188 in CEPH pedigree 1347 using a radiolabeled PCR primer and autoradiography. (B) Fluorescent analysis of D21S188 in three at random individuals.











