
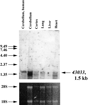
Figure 2.
Northern blot analysis of EST 43033. 43033 was used as a probe against total RNA from human cerebellum (Clontech) and several mouse tissues. Sizes of the RNA ladder (GIBCO/BRL) are shown on theleft. The ethidium stained gel is shown below as a control for RNA loading.











