
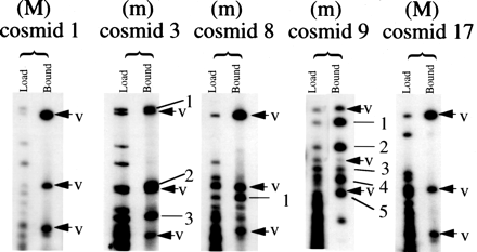
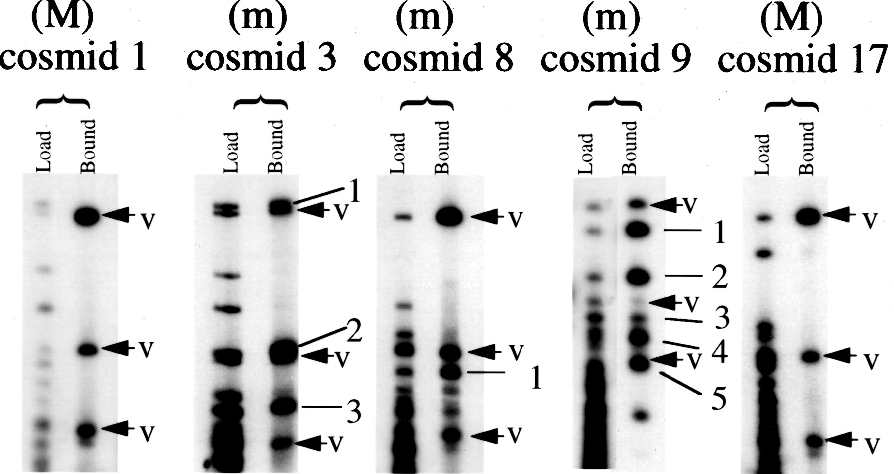
Binding of CGI-like fragments from 5 cosmids to MBD columns. For each cosmid the fragment profile of MseI-digested DNA that was loaded onto the column is shown beside the tightly bound fragments that eluted at high salt. The vector bands present in the eluate are arrowed and labeled V. Bound insert fragments for each cosmid are numbered. The profiles refer to 2 macrochromosomal cosmids (M) with no CGI-like chicken fragments and 3 microchromosomal examples (m) with 1, 3, and 5 CGI-like fragments.











