
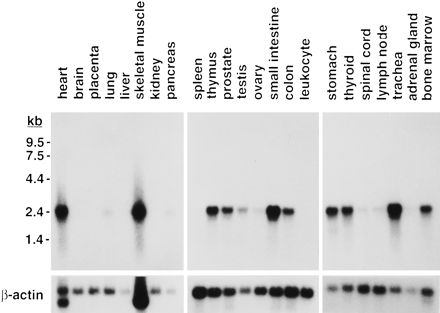
Figure 2.
GLC1A expression in human adult tissues. Northern blot analysis of 2 μg of poly(A) RNA per lane probed with32P-labeled GLC1A cDNA. The autoradiographic exposure was 21 hr, 6 hr, and 18 hr for left, center, andright filters, respectively. Blots were stripped of radioactivity and rehybridized with a 32P-labeled β-actin cDNA.











