
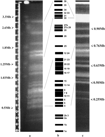
PFGE separation of L. major Friedlin chromosomes. (a) Separation of the larger chromosomes: Agarose-embedded L. major Friedlin DNA was prepared as described in Methods and subjected to PFGE [0.8% agarose (GIBCO), Bio-Rad DRII apparatus, 100 V, 1000- to 100-sec ramp, 250 hr, 4°C; electrophoresis buffer was changed after 90 hr]. The chromosomes of S. cerevisiae YNN295 (Bio-Rad) and H. wingiae (Promega) were used as molecular mass markers. Sizes are indicated. The chromosomes were visualized under UV after staining with ethidium bromide. (b) Ideogram of theL. major Friedlin karyotype. Numbering of the chromosomes was derived from this study and Wincker et al. (1996). Lines indicate the relative mobilities of selected chromosomes in panels a andc. (c) Separation of the smaller chromosomes: Agarose-embedded L. major Friedlin DNA was prepared as above but separated under different PFGE conditions [1.0% agarose (GIBCO), Bio-Rad DRII apparatus, 150 V, 140- to 90-sec ramp, 110 hr, 4°C].











