
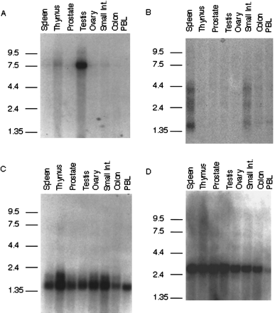
Figure 2.
Northern blot analysis of four transcripts from the FMF interval. Autoradiograms of human multitissue Northern blots probed with [32P]dCTP-labeled cDNA are shown. Blots were probed with the following cDNAs: (A) clone CR17-26; (B) V9; (C) CR18-9; (D) ZNF174.











