
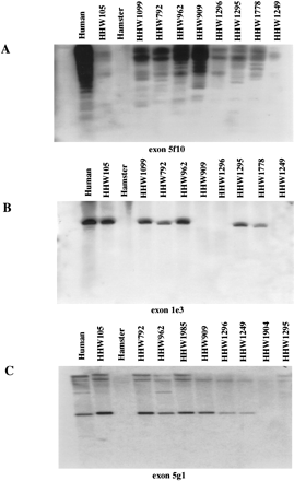
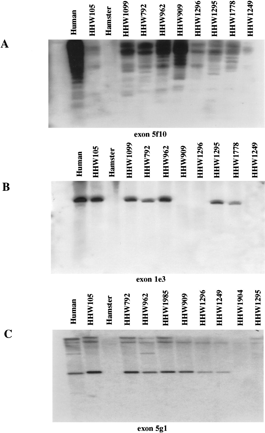
Figure 4.
Representative Southern blots of various classes of exon-trapped products from the CDCMR region. (A) A repetitive exon; (B) a single copy exon; (C) an exon that identifies one major band, and other related sequences, two that map to the CDCMR region, and one that maps to another chromosome. Exon 5g1 is the same as exon 1f1.











