
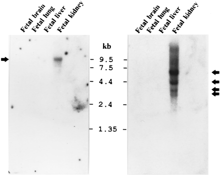
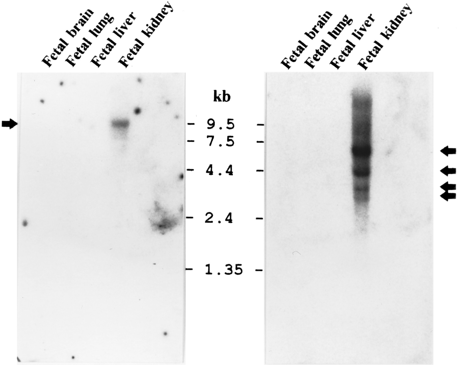
Northern blot analysis of SIM1 and SIM2 expression. The nonhomologous carboxy-terminal parts of SIM1 and SIM2 cDNAs were used as specific probes against filters containing poly(A)+ RNA from several human tissues (see Methods). The same filters were used sequentially for both hybridizations. Both genes are expressed in fetal kidney; SIM1 revealed an mRNA species of ∼9.5 kb (left), whereas SIM2 showed mRNA species of ∼2.7, 3, 4.4, and 6 kb (right).











