
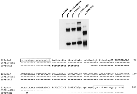
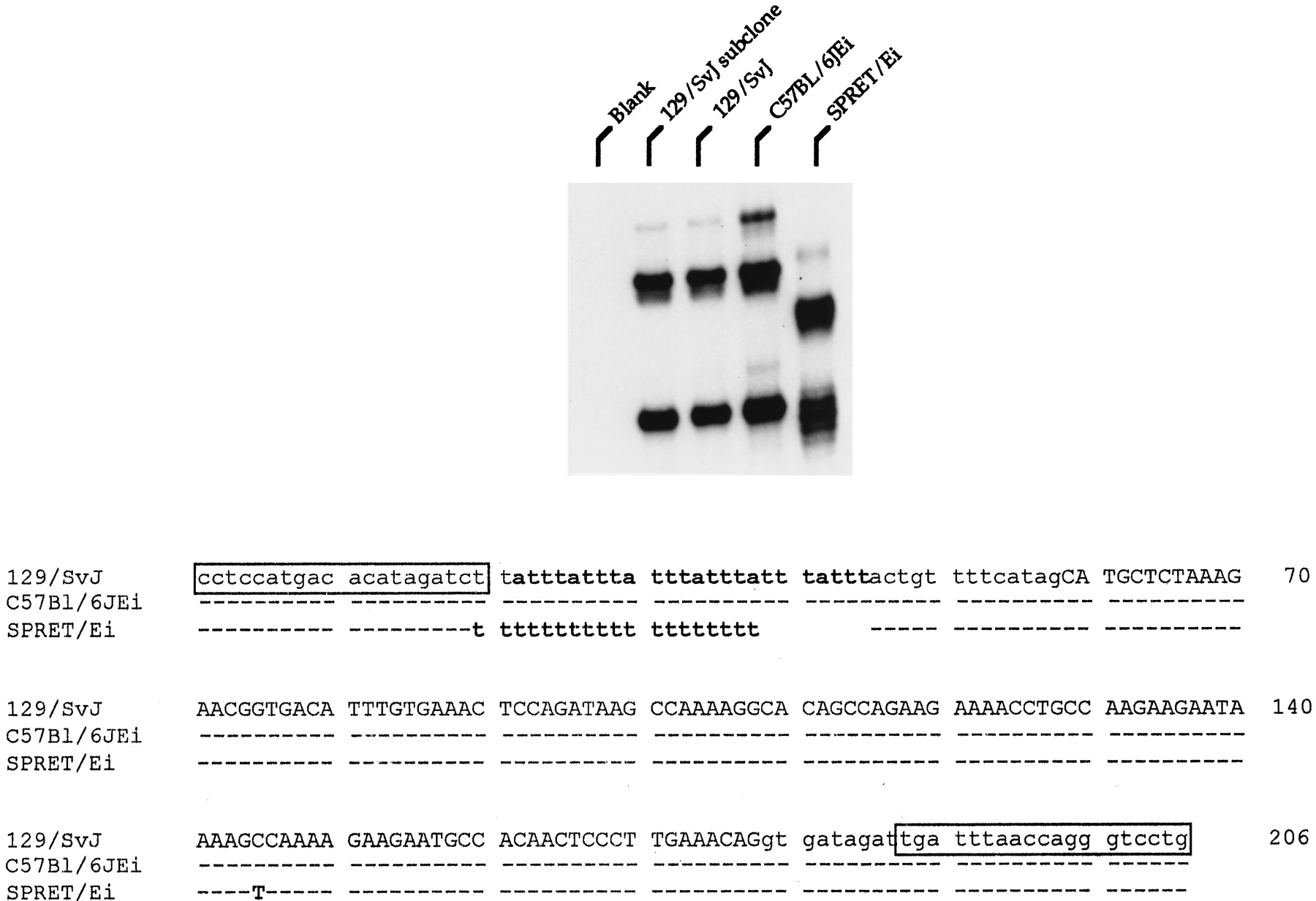
Polymorphism in Smn exon 2b identified by SSCA. An interstrain polymorphism between SPRET/Ei and 129/SvJ or C57BL/6JEi was identified. Sequence analysis identified a tetranucleotide repeat (AAAT)6in 129/SvJ and C57BL/6JEi compared to an adenine repeat (A)19in SPRET/Ei. Additionally, a silent polymorphism in SPRET/Ei DNA was also identified. This is a C/T transversion, and both triplets code for the same amino acid (serine).











