
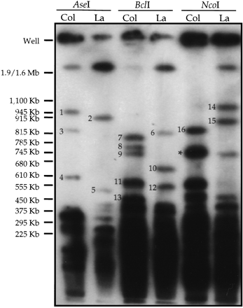
Identification of large polymorphic restriction fragments containing 180-bp centromeric repeat arrays. High-molecular-weight genomic DNA samples from A. thaliana strain Columbia (Col) or Landsberg erecta (La) were digested with the restriction enzymes indicated and size-fractionated by pulsed-field gel electrophoresis. After electrophoresis, the DNA was transferred to a nylon membrane and hybridized with a radiolabeled 180-bp repeat probe. The polymorphic fragments used for genetic mapping are numbered 1–16 (see Table 1). The fragment indicated by the asterisk cross-hybridized with 160-bp and 500-bp (telomere-similar) repeat probes. The sizes of yeast chromosomal molecular standards are shown at the left.











