
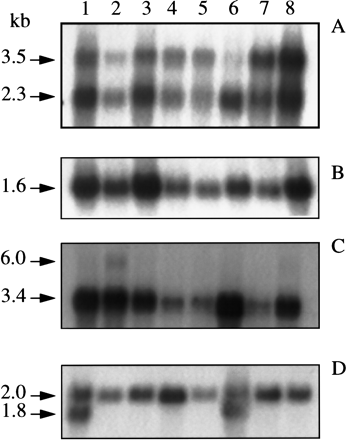
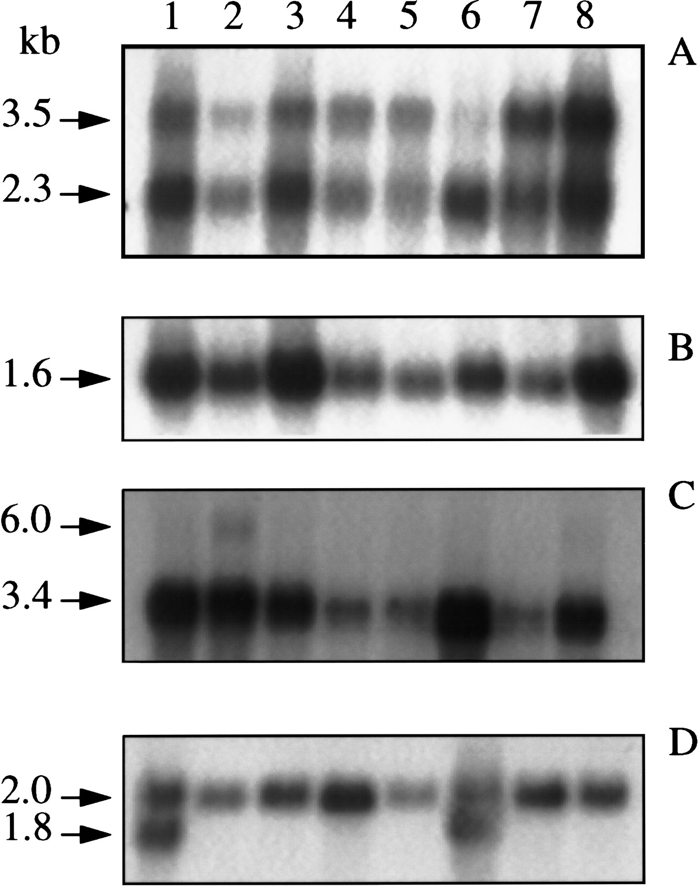
Figure 3.
Human multitissue Northern blot hybridized to clk2 cDNA (A), propin1 cDNA (B), cote1 cDNA (C), and β-actin cDNA (D). Lanes 1–8 are heart, brain, placenta, lung, liver, skeletal muscle, kidney, and pancreas, respectively.











