
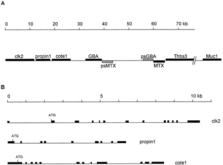
Figure 2.
Schematic representation of the 75 kb of sequence surrounding theGBA gene. (A) Order of the seven genes and two pseudogenes at the locus. (B) Intron/exon organization ofclk2, propin1, and cote1. Genes shown in boxes above the line are transcribed left to right. MTX is transcribed right to left.











