
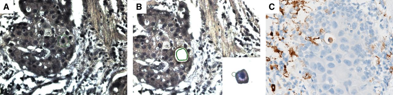
Figure 3.
Laser-capture microdissection of ductal carcinoma in situ. (A) Single cell within a duct involved by DCIS, targeted for dissection (green outline). (B) Duct postdissection and the captured cell on the LCM cap (inset). (C) Immunohistochemistry for macrophage marker CD163.











