
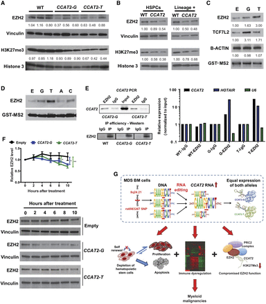
CCAT2 regulates EZH2 in vitro and in vivo. (A,B) Western blot analysis on complete BM cells from CCAT2-G, CCAT2-T, and WT mice (A), and hematopoietic stem and progenitor cells (HSPCs) and lineage-positive cells from CCAT2-G, CCAT2-T, and WT mice (B). (C,D) Western blot analysis for EZH2 in cell lysates from GST-tagged allele-specific CCAT2-overexpressing HEK293 cells following RNA pulldown experiment. (C) TCF7L2 was used as a positive control and B-Action as a negative control for CCAT2 interaction. (D) Pulldown analysis after overexpressing nonphysiological A and C alleles of the SNP. (E) RT-qPCR for CCAT2 expression in BM cells of CCAT2-G, CCAT2-T, and WT mice following RNA Immuno-Precipitation by EZH2 antibody (right). HOTAIR was used as a positive control and U6 as a negative control for EZH2 interaction. All expression levels were normalized to input. End-point PCR for CCAT2 and Western blot analysis showing efficiency of EZH2 RIP (left). (F) Western blot analysis to detect EZH2 levels following treatment of CCAT2-overexpressing-HEK293 cells with cycloheximide for 0, 2, 4, 6, 8, and 10 h. Upper panel shows quantification of three independent Western blot experiments performed in triplicates. (G) Schematic model of proposed mechanism of CCAT2-induced MDS/MPN phenotypes. Data are represented as mean values ±SEM. (*) P < 0.05; (**) P < 0.01.











