
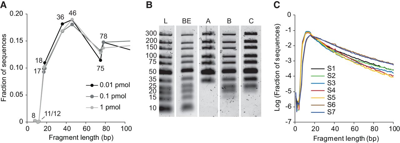
Recovery of short DNA fragments in DNA extraction and library preparation. (A) Sequence representation of DNA fragments obtained after preparing single-stranded libraries from a restriction digestion of plasmid DNA. Restriction digestion is expected to create a pool of DNA fragments in equimolar concentration. (B) Recovery of double-stranded DNA from equal quantities of a size marker (L) with four different extraction methods (buffer exchange [BE] as well as silica-based methods A–C) as visualized on a 4% agarose gel. (C) Log-transformed size distribution of DNA fragments reconstructed by sequencing DNA isolated from six ancient bones and one tooth using buffer exchange. S1: cave bear bone (Gamsulzen cave), S2: cave bear bone (Sima de los Huesos), S3: cave bear bone (Vindija cave), S4: brown bear tooth (Denisova cave), S5: yak bone (Denisova cave), S6: bison bone (Yukon permafrost), S7: beluga whale bone (North Sea). Small quantities of a 40-nt control oligonucleotide were spiked into the DNA extracts prior to library preparation.











