
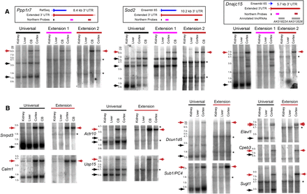
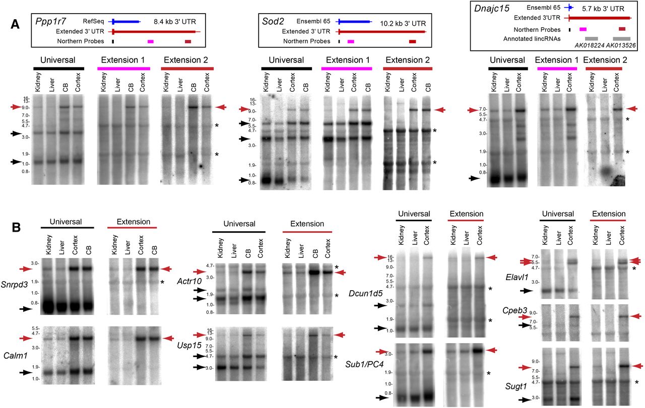
Northern analysis validates brain-specific 3′ UTR extensions. (A) Northern analyses that compare universal (proximal) probes with two probes directed against an intermediate and a very distal portion of a 3′ UTR extension. The gene models above show the known and newly recognized 3′ UTR extensions and locations of Northern probes. In all cases, the universal probes detect broadly expressed transcripts bearing short 3′ UTRs as well as longer 3′ UTR isoforms that are specific to cerebellum (CB) and/or cortex, while the extension probes detect exclusively the longer 3′ UTR isoforms in brain. Note that the intermediate probes (extension 1) for Sod2 and Dnajc15 detect intermediate 3′ UTR isoforms that are codetected by their respective universal probes but not by their most distal 3′ UTR probes. Asterisks denote cross-hybridization to abundant rRNA bands. (B) Additional examples of brain-specific distal APA events validated by Northern blots. Northern analysis using universal Northern probes (black bars) designed to detect all 3′ UTR isoforms reveal dominant isoforms used by all tissues examined along with brain-specific long 3′ UTR isoforms. Extension probes (red bars) designed to detect the 3′ UTR extensions reveal expression only in the brain and not in other tissues. Asterisks denote background hybridization to ribosomal RNAs; (CB) cerebellum.











