
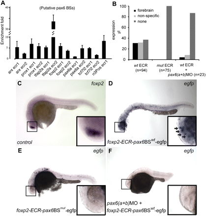
pax6 directly regulates the novel predicted enhancers. (A) Immunoprecipitation of chromatin from 28-hpf zebrafish embryos, using anti-Pax6 antibodies and control rabbit IgG, was followed by real time PCR to confirm enrichment for predicted BSs. The Pax6 in vivo occupancy is site-dependent, leading to enrichment values from two- to 32-fold (y-axis). The x-axis shows each tested Pax6 BS (ECR1 and ECR2 for six different target genes). (B) Summary expression data for the reporter transgenic zebrafish embryos for foxp2 ECR1: wild type (wt), mutant (mut), and wild type with pax6a and pax6b knockdown (wt+pax6(a+b)MO), showing specific forebrain, nonspecific, or no expression. (C) foxp2 WMISH showing prominent expression in forebrain at 28 hpf. (D) foxp2 ECR1 wt reporter study employing EGFP WMISH to reveal signal in subset of cells showing full foxp2 expression in C. (E) Absence of forebrain EGFP expression when reporter driven by foxp2 ECR1 mutated at the pax6 binding site. (F) Absence of EGFP reporter expression when pax6(a+b) expression is down-regulated by double morpholino co-injection.











