
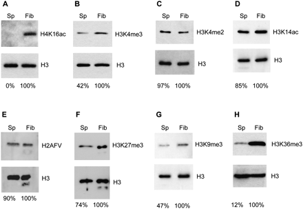
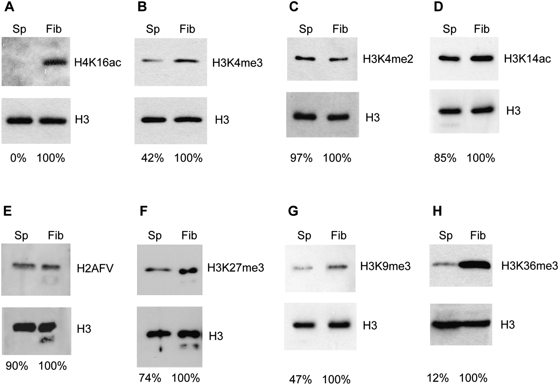
Figure 2.
Bulk levels of histone modifications and histone variants in sperm. Immunoblotting was applied to quantify the level of modifications in sperm by comparing to ZF4 fibroblast cells and normalizing with H3 levels. (A) H4K16ac is not detected in sperm. (B–H) The levels of active and repressive marks and a histone variant (H2AFV/H2A.Z) in sperm compared with ZF4 fibroblast cells.











