
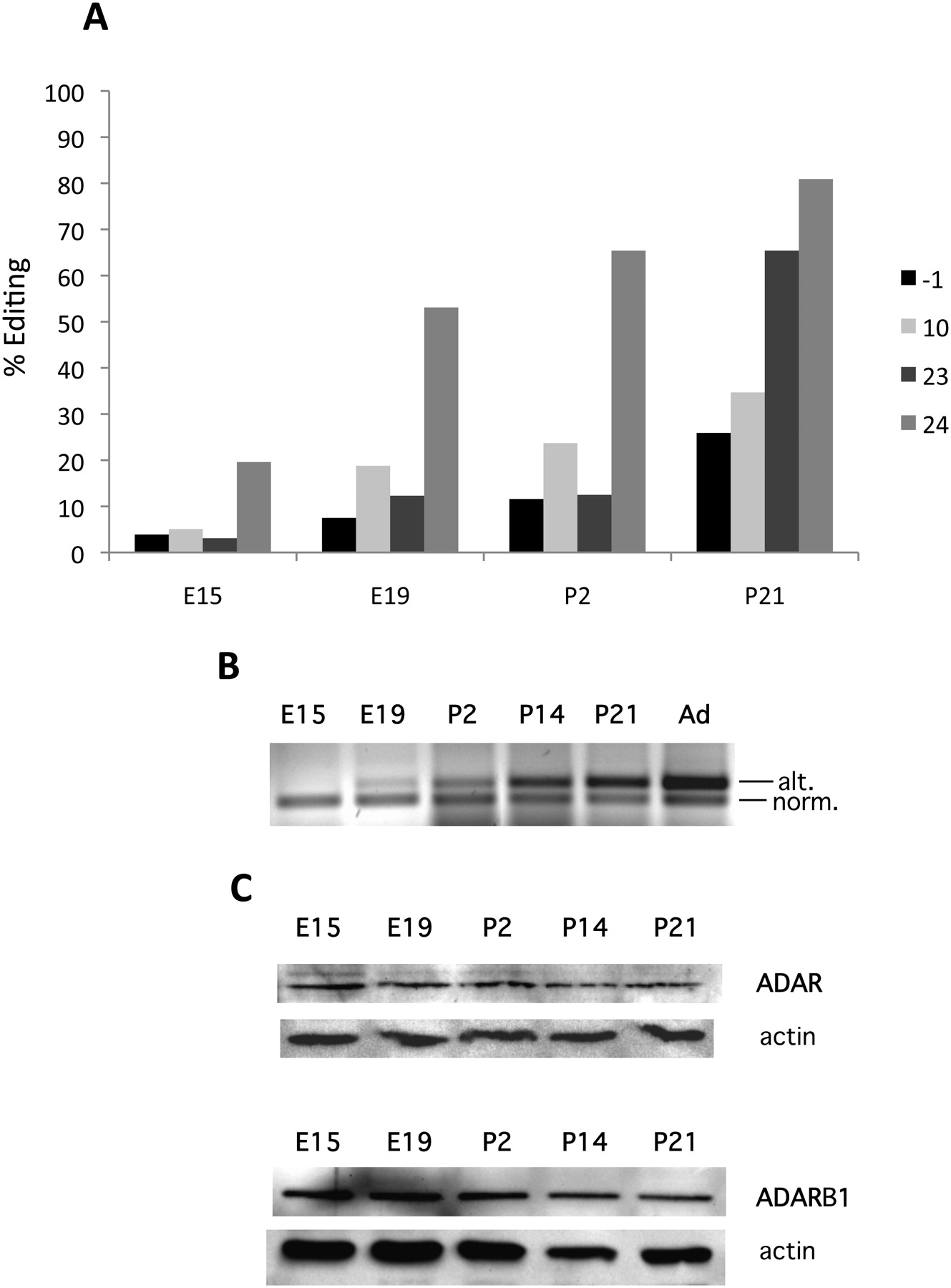
Editing of the Adarb1 transcripts during development and the ratio between normal and alternatively spliced Adarb1 transcripts. (A) Editing frequency at the −1, 10, 23, and 24 sites of Adarb1 transcripts was determined by 454 Amplicon Sequencing of RT-PCR products from four developmental stages, E15, E19, P2, and P21. (B) Detection of normal and alternatively spliced Adarb1 transcripts by RT-PCR during the six developmental stages, E15, E19, P2, P14, P21, and >P21. (C) Protein levels of ADAR and ADARB1 during development of the mouse brain. Western blot analysis showing the ADAR (110 kDa) and ADARB1 expression during the developmental stages, E15, E19, P2, P14, and P21 as indicated. An anti-actin antibody was used as a loading control.











