
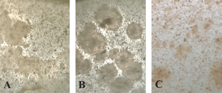
Figure 3.
Chitinase assay. Chitin degradation was assessed on chitin-overlaid agar plates as described in Methods. Small zones of clearing are evident around colonies of proteolytic C. botulinum strains Hall A (A) and 213B (B), but not around colonies of nonproteolytic C. botulinum strain CDC 7854 (C).











