
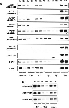
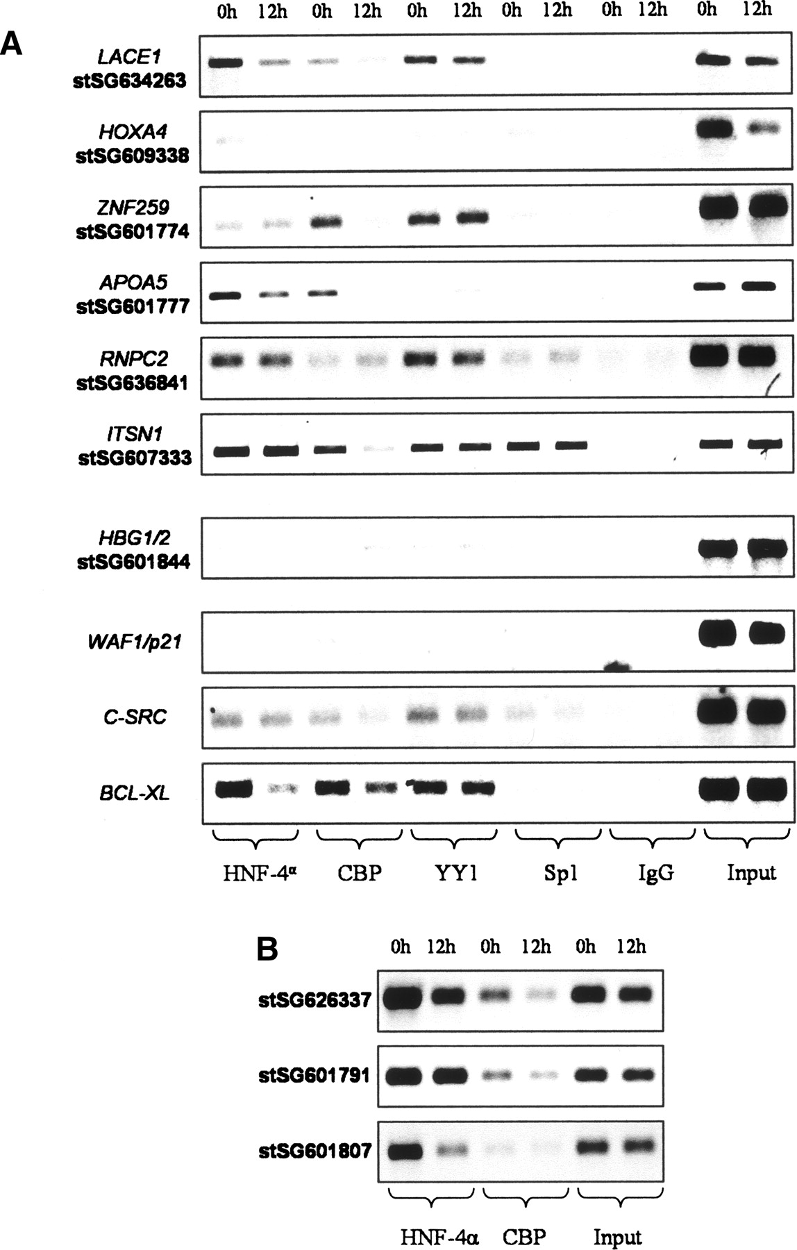
Butyrate affects the binding of some transcription factors bound at deacetylated regions. ChIPs were prepared from cells that were either untreated (0 h) or treated with 5 mM Na-butyrate for 12 h, using antibodies against the proteins indicated in the bottom of the pictures. In A, some of the regions from Supplemental Table 1 were analyzed. In B, we analyzed some distal elements previously identified as HNF4A targets. The amplified regions were 3 kb downstream from ENPP1 (stSG626337), 15 kb upstream from APOA5 (stSG601791), and 2.5 kb upstream from APOC3 (stSG601807).











