
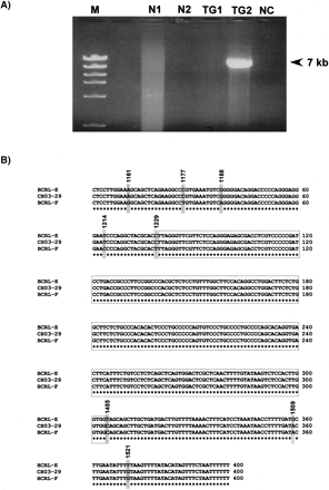
Long-range PCR and sequence analysis of the breakpoint junction fragment in patient CH03-29. (A) Results of long-range PCR with primers BEfor2 and BFrev on 250 ng of genomic DNA. (M) 1 kb DNA ladder; (N1) normal control 1; (N2) normal control 2; (TG1) total genomic DNA from CH98-18; (TG2) total genomic DNA from CH03-29; (NC) no template DNA, negative control. (B) Sequence alignment of the putative crossover region. Nucleotides 1151–1550 of the junction fragment obtained from CH03-29 were aligned with the corresponding reference sequences in BCRL-E and BCRL-F obtained from NCBI (build 35). The sequence variants observed are marked by gray boxes. The nucleotide positions of sequence variants are based on the coordinates of the 6834 bp junction fragment. The 225 bp region predicted to contain the crossover point is boxed.











