
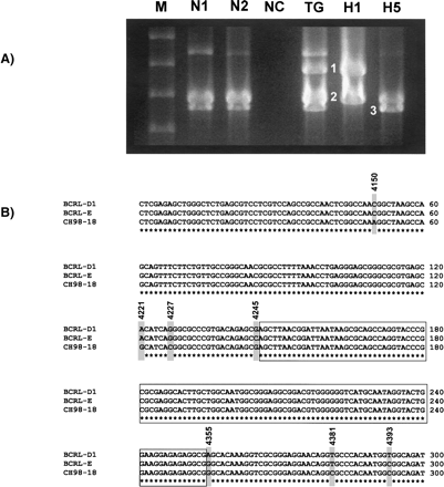
Long-range PCR and sequence analysis of breakpoint junction fragments in patient CH98-18. (A) Results of long-range PCR with primers BDfor and BErev on genomic DNA. (M) 1 kb DNA ladder; (N1) normal control 1; (N2) normal control 2; (NC) no template DNA, negative control; (TG) total genomic DNA from CH98-18; (H1 and H5) genomic DNA from hybrids H1 and H5, respectively. The bands that were gel-isolated from hybrid H1 are labeled “1” and “2,” and the one from H5 is labeled “3.” (B) Sequence alignment of the putative crossover region. Nucleotides 4101–4400 of the junction fragment obtained from CH98-18 were aligned with the corresponding reference sequences from BCRL-D1 and BCRL-E obtained from NCBI (build 35). The sequence variants observed are marked by gray boxes. The nucleotide positions of sequence variants are based on the coordinates of the 6083 bp junction fragment. The 109 bp region between nucleotides 4246 and 4354 is predicted to contain the crossover point (boxed).











