
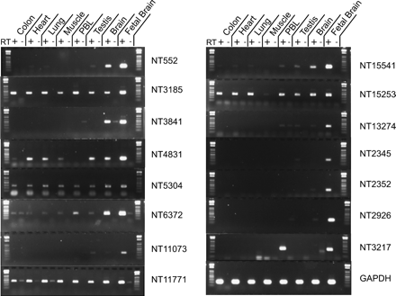
Expression analysis of novel transcripts in different tissue types. RT-PCR was performed on each novel transcript using equal amounts of cDNA from total RNA of human colon, heart, lung, skeletal muscle, peripheral blood leukocytes, testis, and brain, and poly(A+) RNA from human fetal brain. Representative pictures of experiments performed in triplicate are shown. GAPDH was used as a control.











