
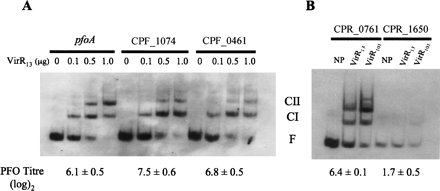
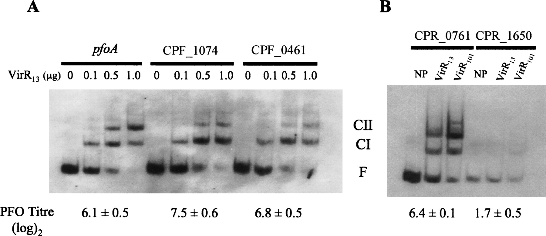
Gel mobility shift assay of VirR binding to novel putative VirR boxes from C. perfringens ATCC 13124 and SM101. Varying amounts of VirR protein from strain 13 (VirR13) was used in A, whereas either no protein (NP) or 1.0 μg of either VirR13 or the VirR protein from SM101 (VirR101) was added in B. The genes downstream of the putative VirR boxes are shown above each gel section. The pfoA gene from strain 13 was used as the positive control. The respective perfringolysin O (PFO) titers obtained when the various VirR box regions fused to a pfoA gene were introduced into a pfoA mutant (Cheung and Rood 2000) are indicated below the gel.











