
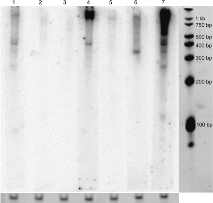
Figure 3.
Northern blots. The results of Northern blotting for seven mouse candidates, where lanes 1, 4, 6, and 7 show positive results with size estimates of ∼400, 400, 350, and 400 bp, respectively. A 100-bp RNA marker as a size standard and 5.8S rRNAs as a loading control are shown.











