
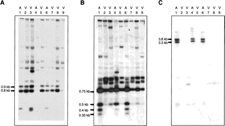
Genomic Southern blot analysis reveals a correlation between pi3.4 amplification and avirulence in field isolates. Genomic DNA derived from 80029 (1), 88133 (2), 84044 (3), 85005 (4), 85025 (5), 87001 (6), 87010 (7), 87177 (8), and 88175 (9) was digested with EcoR1 and PstI and hybridized with probes derived from different parts of pi3.4 as shown in Figure 3B. Hybridization with probe A is shown in (A), B in (B), and C in (C).











