
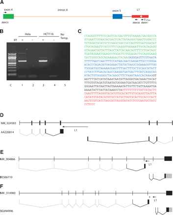
RT-PCR cloning of the upstream run-on transcript from NM_024583 (secernin 3). (A) The RT-PCR strategy. The full-length L1 (red box) is located in intron 5 (black line) in the antisense orientation. After cDNA synthesis from the extracted total RNA with the L1-poly T primer (JB8441), the L1-antisense primer (JB8438), which hybridizes just upstream of the MAPS (white star), and the gene specific primer (JB8435), which anneals within exon 4 (green box), were used to amplify the upstream run-on transcript. Exon 5 is shown as a blue box. (B) Gel purification of the PCR product. From the two different human cell lines, Hela (lane 1) and HCT116 (lane 3), ∼650-base pair fragments were generated as major bands whereas no product was amplified without reverse transcriptase on cDNA synthesis (lanes 2,4) and template DNA on PCR (lane 5). The marker is a 100-base pair DNA ladder (lane C). (C) The sequence of the ∼650-base pair PCR product contains the 5′ end of intron 5 (in black) but not intron 4 (orange in A), which was spliced out. Colors as in Figure 2a. In D,E,F, gray boxes and lines indicate sequence and splicing not observed in the database or in our transcripts, as these short sequencing products do not contain the entire mRNA, but which are inferred from the sequence of the full-length mRNA. (D) NM_024583 (secernin 3). The L1 is 6 kb and is shown as an arrow; the direction of the arrow indicates the direction of transcription from the native L1 promoter. The first line shows the full-length gene structure as defined by Spidey. Underneath is the polyadenylated transcript discovered and sequenced here that terminates in the L1, and below that is a previously described transcript that starts in the 5′ end of the L1 and is potentially driven by the ASP. (E) NM_004866 (SCAMP1). The L1 is 6 kb and is shown as an arrow. As in (D), the first line shows the full-length gene structure as defined by Spidey, the second line shows the polyadenylated transcript described here, and the third line shows the database sequence BE566710, which is the ASP-derived product. (F) NM_014960 (arylsulfatase G). The full-length gene structure is shown in the first line. Here there are two arrows for the L1. The first arrow indicates a truncated antisense L1 situated upstream of the full-length antisense L1, indicated by the second arrow. The second line is the product described here that terminates at the MAPS in the truncated L1. The last line depicts the database sequence that appears to be derived from the ASP of the full-length L1 element.











