
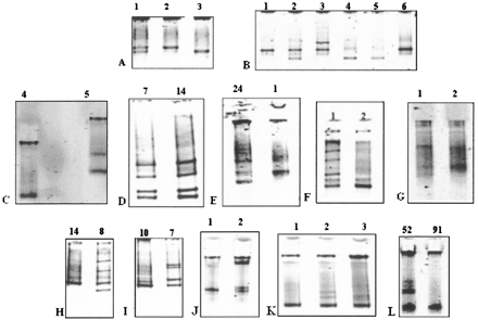
BRCA1 meltMADGE variant patterns. The track width is 2 mm: total migration distances range from ∼5 to 12 mm. All samples have been re-run in the thermal ramp system for illustration purposes in H-PAGE format (Day and Humphries 1994) except for panel C, which is in MADGE format. Tracks are labeled by subject number. (A) Amplimer BRCA1x8 displays the three genotypes of the common SNP, IVS7–34C→T. The homoduplexes, distinguished by one hydrogen-bond difference (G:C duplex vs. A:T duplex) are well resolved. (B) Patterns of BRCA1x11M containing 3232A→G (G allele frequency 0.33) and 3238G→A (A allele frequency 0.02) polymorphisms. Sample 2 is heterozygous for 3232A→G, and sample 3 is heterozygous for 3238G→A. (C) BRCA1x11B: track 5 displays 1218insA and track 4 displays wild type. (D) Four band heterozygote patterns of the common polymorphism, 2731C→T, in two heterozygous samples, in amplicon 11J. (E) Amplicon 11J: 2804delAA frameshift mutation is seen in sample 24 compared with wild type (sample 1). (F) BRCA1x11G: track 2 represents the wild-type homoduplex, and track 1 displays the heterozygote formed pattern for SNP 2201C→T. (G) BRCA1x11O: 3825delAA heterozygous mutation (track 1) compared with wild type (track 2). The two homoduplexes resolved, but the two heteroduplexes appear to coelectrophorese. (H) BRCA1x11H: SNP 2401 C→T heterozygote (track 8) and CC homozygote (track 14). (I) BRCA1x11I: SNP 2401C→T heterozygote (track 7) and CC homozygote (track 10). (J) BRCA1x11P: track 1 represents wild type. In track 2, the heteroduplexes for heterozygous mutation 3875del4 (GTCT) were retarded at an early stage near the well, whereas the homoduplex mobilities differentiated at a later stage in the thermal ramp. (K) BRCA1x11O: track 1 represents wild type. Track 2 represents a heterozygote for SNP 3667A<G. Track 3 represents a heterozygote for mutation 3694insT. Although the thermal ramp used did not resolve the homoduplexes, two heteroduplexes are resolved both in track 2 and track 3, the heteroduplex bands in track 3 clearly differing from these in track 2. (L) BRCA1x20: track 91 represents wild type, whereas track 52 represents a subject heterozygous for 5396+47ins12; in track 52 the two heteroduplexes appear to coelectrophorese, as do the two homoduplexes.











