Skip to main page content
HOME
ABOUT
ARCHIVE
SUBMIT
SUBSCRIBE
ADVERTISE
AUTHOR INFO
CONTACT
HELP
Search for Keyword:
GO
Advanced Search
Punctuated duplication seeding events during the evolution of human chromosome 2p11
Supplemental Research Data
Files in this Data Supplement:
Supp Methodso (MS Word)
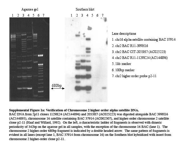
Supp Figure 1A.JPEG
Supp Figure 1B.JPEG
Supp Table 1 (MS Excel)
Supp Table 2 (MS Excel)
Supp Table 3 (MS Excel)
Supp Table 4 (MS Excel)
This Article
Published in Advance
June 17, 2005
, doi:
10.1101/gr.3916405
Genome Res.
July 2005
vol. 15
no. 7
914-927
Abstract
Free
Full Text
Free
Full Text (PDF)
»
Supplemental Research Data
Preprint Server
Current Issue
April 2026, 36 (4)
In This Issue
Cross-modality translation in single-cell multiomics
Long-read sequencing of small supernumerary marker chromosomes
Somatic mutant alleles in bulk tumor samples
Honey bee gut microbiota and RNA editing
Substantia nigra aging in Parkinson's disease
Alert me to new issues of
Genome Research
Advance Online Articles
Submit a Manuscript
GR in the News
Editorial Board
Permissions
E-mail Alerts & RSS Feeds
Recommend to Your Library
Job Opportunities