
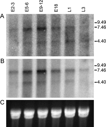
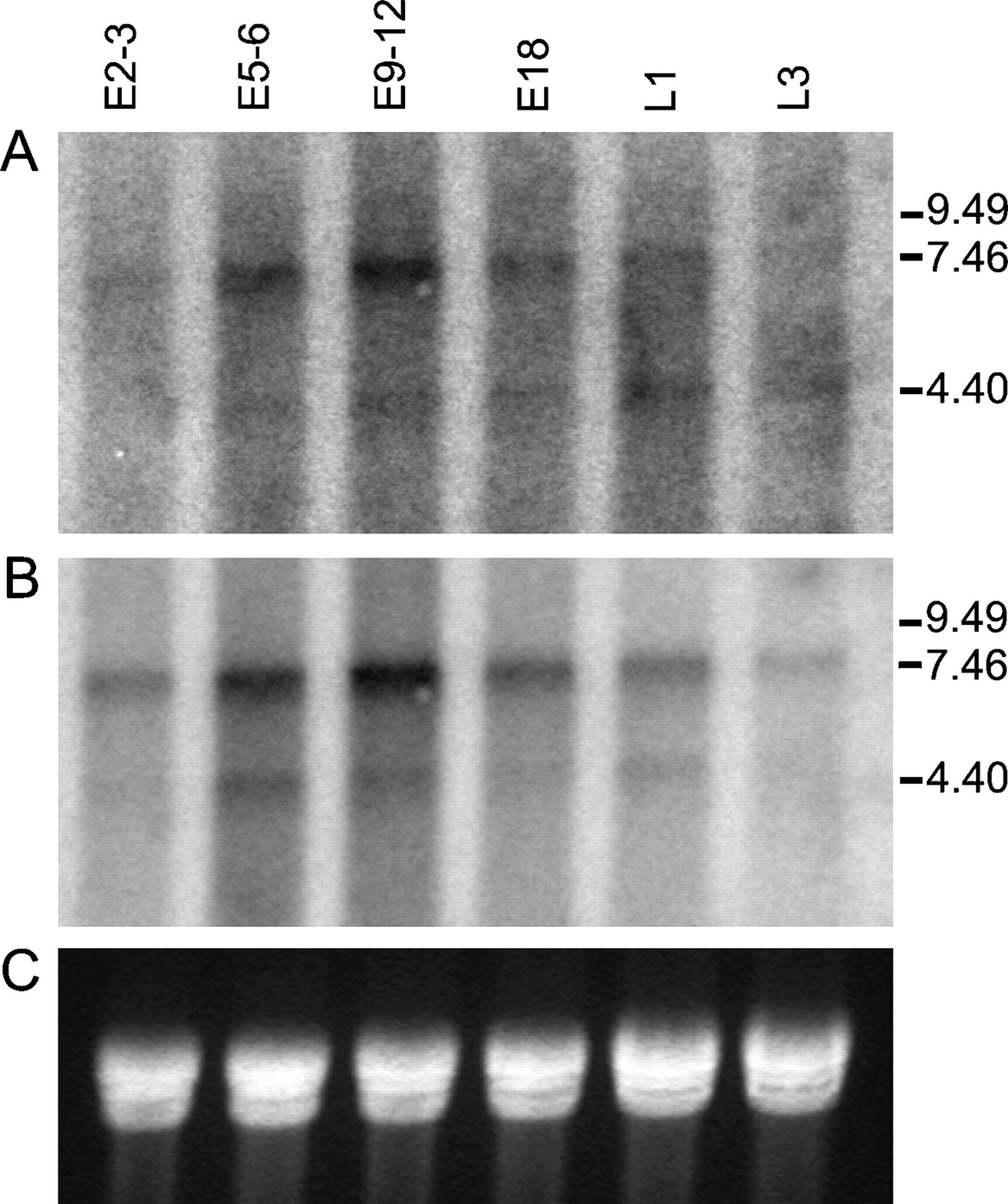
Expression analysis hth transcripts. (A,B) RNA-blot hybridizations of 10 μg of total RNA prepared from several stages of Drosophila development. The stages of embryo development are indicated as follows: 2-3 h post-laying (E2-E3), 5-6 h post-laying (E5-E6), 9-12 h postlaying (E9-E12), 18 h post-laying (E18), first instar larvae (L1), and third instar larvae (L3). (A) A membrane hybridized with the intron-specific probe II. (B) The same membrane hybridized with the exon-specific probe I after stripping. The positions of 0.24-9.5 kb RNA Ladder bands are indicated on the right. (C) shows a photograph of the ethidium bromide-stained gel with Drosophila ribosomal RNAs.











