
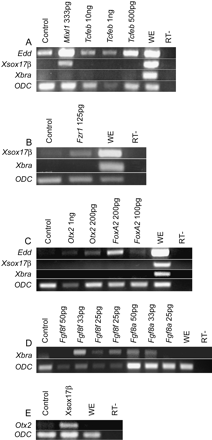
Identified molecules can directly induce endoderm or mesoderm from naive ectoderm. Capped synthetic mRNAs were injected at the indicated concentrations into the prospective ectoderm of the onecell Xenopus embryo. The ectoderm was explanted and cultured in isolation until stage 10.5. Analysis of mesodermal and endodermal markers was performed by RT-PCR on the expressing tissues and uninjected controls. Mixl1 was capable of directly inducing both Xsox17β and edd, while Fzr1 could induce Xsox17β (A and B). Tcfeb, Otx2, and Foxa2 were all able to induce edd, but not Xsox17β (A and C). FGF8a and FGF8f both induced Xbra in naive ectoderm (D). Xsox17β induces Otx2 (E). Abbreviations are as follows: WE, whole embryo; RT-, reverse transcriptase minus. ODC is a loading control.











