
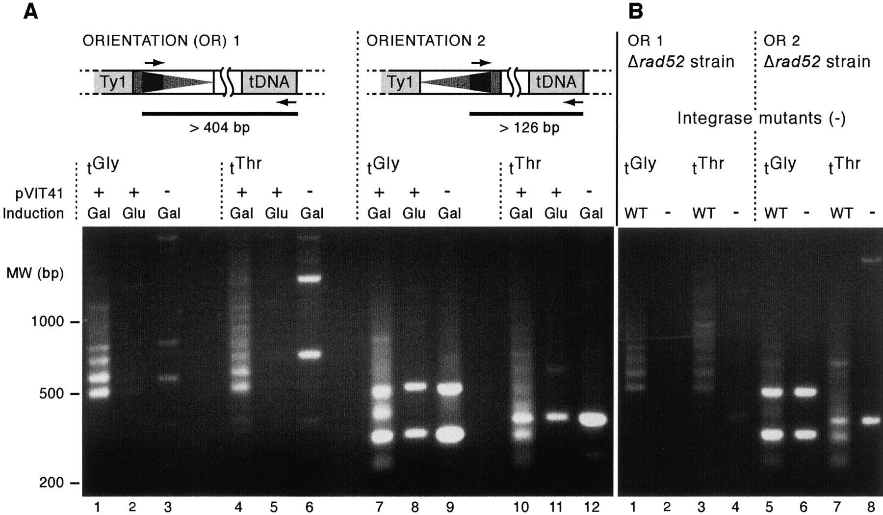
The insertion pattern upstream of the tGly and tThr gene families is periodic and depends on the expression of the marked Ty1 element and the Ty1 integrase protein. Four primer pairs were used to identify Ty1 insertions upstream of tGly and tThr genes in both orientations. (A) PCR products from each primer combination resulting from galactose induction with the pVIT41 Ty1 donor plasmid, without induction or without the plasmid. (B) The periodic insertion pattern depends on the presence of wild-type Ty1 integrase and does not require the homologous recombination pathway. Inductions were completed in a Δrad52 strain. The pNB19 plasmid containing a mutation in the catalytic site of integrase (–) or pVIT41 (WT) were used as the source of Ty1.











