
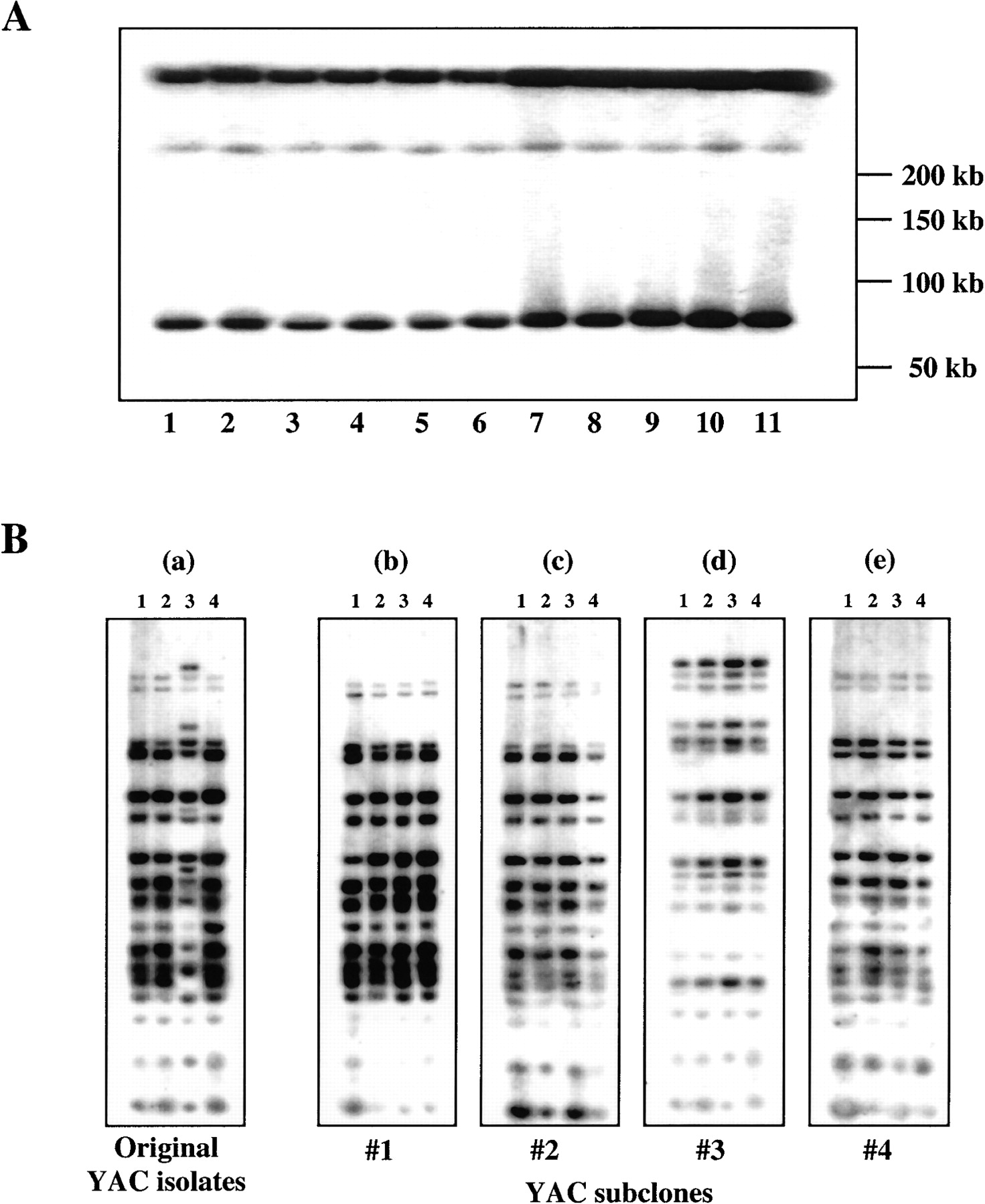
Integrity of TAR YAC isolates in yeast. (A) YAC DNA was isolated from the original GAP6-#1 clone (lane 1), five of its subclones (lanes 2-6) and five transformants with YAC/BACs (lane 7-11), digested by NotI, separated by CHEF, and then hybridized with an Alu probe. Clones have the same size, indicating that these clones do not have detectable deletions in yeast. (B) Alu profiles of the original TAR YAC clones containing the GAP6 sequence and their subclones. Total yeast DNA was isolated from four independent gap-positive transformants and from four subclones of each independent TAR isolate and digested to completion with TaqI. Fragments were separated by gel electrophoresis, transferred to a nylon membrane, and hybridized with an Alu probe. (Alu profile of isolates differs slightly due to differences in the size of TAR isolates.) (a) Four independent TAR isolates of GAP6-#1, -#2, -#3 and -#4. (b-e) correspond to four subclones of each independent isolate, respectively.











